Login Register
English
0

Cart

$ 0

PD-L2 Polyclonal Antibody

PD-L2 Polyclonal Antibody

Views(43) Publications(0) Catalog no(ABP59870)
Datasheet Print Share Email Share
  • Specification
  • FAQ
  • Publications(0)
  • Comments(0)

Specification

Product name PD-L2 Polyclonal Antibody
Immunogen Synthesized peptide derived from part region of human PD-L2 protein at amino acid sequence of 31-80
Host Rabbit
Reactivity Human,Mouse
Applications WB,IHC,IF,ELISA
Applications notes Optimal working dilutions should be determined experimentally by the investigator. Suggested starting dilutions are as follows: WB 1:500-2000;IHC 1:50-200;ELISA 1:10000-20000;IF 1:50-200
Clonality Polyclonal
Preparation method The antibody was affinity-purified from rabbit antiserum by affinity-chromatography using epitope-specific immunogen.
Alternative Programmed cell death 1 ligand 2; PD-1 ligand 2; PD-L2; PDCD1 ligand 2; Programmed death ligand 2; Butyrophilin B7-DC; B7-DC; CD antigen CD273

Product Properties

Formulation Liquid solution
Concentration 1 mg/ml
Molecular weight 30kD
Storage buffer Liquid in PBS containing 50% glycerol, 0.5% BSA and 0.02% sodium azide.
Storage instructions Stable for one year at -20°C from date of shipment. For maximum recovery of product, centrifuge the original vial after thawing and prior to removing the cap. Aliquot to avoid repeated freezing and thawing.
Shipping Gel pack with blue ice.
Precautions The product listed herein is for research use only and is not intended for use in human or clinical diagnosis. Suggested applications of our products are not recommendations to use our products in violation of any patent or as a license. We cannot be responsible for patent infringements or other violations that may occur with the use of this product.

Additional Information

Background PDCD1LG2 (Programmed Cell Death 1 Ligand 2) is a Protein Coding gene. Diseases associated with PDCD1LG2 include Cysticercosis and Myasthenic Syndrome, Congenital, 14, With Tubular Aggregates. Among its related pathways are T Cell Co-Signaling Pathway: ligand-Receptor Interactions and Translocation of ZAP-70 to Immunological synapse. An important paralog of this gene is CD274. Involved in the costimulatory signal, essential for T-cell proliferation and IFNG production in a PDCD1-independent manner. Interaction with PDCD1 inhibits T-cell proliferation by blocking cell cycle progression and cytokine production (By similarity).
Gene ID 80380
Alternative Programmed cell death 1 ligand 2; PD-1 ligand 2; PD-L2; PDCD1 ligand 2; Programmed death ligand 2; Butyrophilin B7-DC; B7-DC; CD antigen CD273
Others The antibody detects endogenous levels of PD-L2
Accession Q9BQ51
Observed Band(KD) 30

Image & description

Fig.1. Western blot analysis of Hela (TSA 400nM 24h) lysate, antibody was diluted at 1:2000. HRP, Goat Anti-Rabbit IgG (Cat #: A21020) secondary antibody was diluted at 1:20000.

Fig.1. Western blot analysis of Hela (TSA 400nM 24h) lysate, antibody was diluted at 1:2000. HRP, Goat Anti-Rabbit IgG (Cat #: A21020) secondary antibody was diluted at 1:20000.

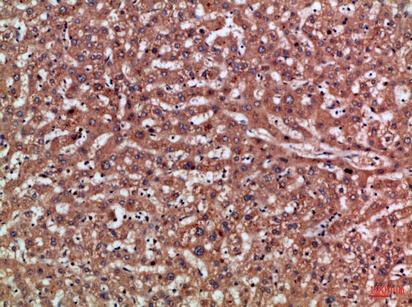
Fig.2. Immunohistochemical analysis of paraffin-embedded Human-liver, antibody was diluted at 1:100.

Fig.2. Immunohistochemical analysis of paraffin-embedded Human-liver, antibody was diluted at 1:100.

This product has been cited in0publications

Reviews

There are no reviews yet.

Be the first to review “PD-L2 Polyclonal Antibody”