Login Register
English
0

Cart

$ 0

P70 S6 Kinase Mouse Monoclonal Antibody (1C7)

P70 S6 Kinase Mouse Monoclonal Antibody (1C7)

Views(52) Publications(0) Catalog no(ABM40258)
Datasheet Print Share Email Share
  • Specification
  • FAQ
  • Publications(0)
  • Comments(0)

Specification

Product name P70 S6 Kinase Mouse Monoclonal Antibody (1C7)
Immunogen Recombinant Protein of P70 S6 Kinase of RPS6KB1
Host Mouse
Reactivity Human,Rat,Mouse
Applications IHC,IF
Applications notes Optimal working dilutions should be determined experimentally by the investigator. Suggested starting dilutions are as follows: IHC 1:100-200;IF 1:50-200
Clonality Monoclonal
Preparation method The antibody was affinity-purified from mouse ascites by affinity-chromatography using specific immunogen.
Alternative RPS6KB1

Product Properties

Formulation Liquid solution
Concentration 1 mg/ml
Molecular weight 70,85kD
Storage buffer Liquid in PBS containing 50% glycerol, 0.5% BSA and 0.02% sodium azide.
Storage instructions Stable for one year at -20°C from date of shipment. For maximum recovery of product, centrifuge the original vial after thawing and prior to removing the cap. Aliquot to avoid repeated freezing and thawing.
Shipping Gel pack with blue ice.
Precautions The product listed herein is for research use only and is not intended for use in human or clinical diagnosis. Suggested applications of our products are not recommendations to use our products in violation of any patent or as a license. We cannot be responsible for patent infringements or other violations that may occur with the use of this product.

Additional Information

Background RPS6KB1 (ribosomal protein S6 kinase B1) encodes a member of the ribosomal S6 kinase family of serine/threonine kinases. The encoded protein responds to mTOR (mammalian target of rapamycin) signaling to promote protein synthesis, cell growth, and cell proliferation. Activity of RPS6KB1 has been associated with human cancer. Alternatively spliced transcript variants have been observed. The use of alternative translation start sites results in isoforms with longer or shorter N-termini which may differ in their subcellular localizations. There are two pseudogenes for RPS6KB1 on chromosome 17.
Gene ID 6198
Alternative RPS6KB1
Others P70 S6 Kinase protein detects endogenous levels of RPS6KB1.
Accession P23443
Observed Band(KD) 70,85

Image & description

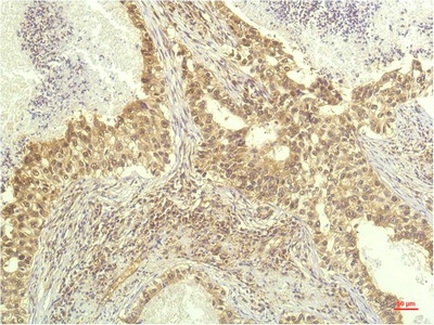
Fig.1. Immunohistochemical analysis of paraffin-embedded Human Lung Carcinoma Tissue using P70 S6 Kinase Mouse mAb diluted at 1:200.

Fig.1. Immunohistochemical analysis of paraffin-embedded Human Lung Carcinoma Tissue using P70 S6 Kinase Mouse mAb diluted at 1:200.

Fig.2. Immunohistochemical analysis of paraffin-embedded Human Breast Carcinoma Tissue using P70 S6 Kinase Mouse mAb diluted at 1:200.

Fig.2. Immunohistochemical analysis of paraffin-embedded Human Breast Carcinoma Tissue using P70 S6 Kinase Mouse mAb diluted at 1:200.

This product has been cited in0publications

Reviews

There are no reviews yet.

Be the first to review “P70 S6 Kinase Mouse Monoclonal Antibody (1C7)”