Login Register
English
0

Cart

$ 0

MCP-3 Polyclonal Antibody

MCP-3 Polyclonal Antibody

Views(63) Publications(0) Catalog no(ABP59242)
Datasheet Print Share Email Share
  • Specification
  • FAQ
  • Publications(0)
  • Comments(0)

Specification

Product name MCP-3 Polyclonal Antibody
Immunogen Synthesized peptide derived from part region of human MCP-3 protein at amino acid sequence of 50-99
Host Rabbit
Reactivity Human,Rat,Mouse,
Applications IHC,IF,ELISA
Applications notes Optimal working dilutions should be determined experimentally by the investigator. Suggested starting dilutions are as follows: IHC 1:50-200;ELISA 1:10000-20000;IF 1:50-200
Clonality Polyclonal
Preparation method The antibody was affinity-purified from rabbit antiserum by affinity-chromatography using epitope-specific immunogen.
Alternative C-C motif chemokine 7; Monocyte chemoattractant protein 3; Monocyte chemotactic protein 3; MCP-3; NC28; Small-inducible cytokine A7

Product Properties

Formulation Liquid solution
Concentration 1 mg/ml
Storage buffer Liquid in PBS containing 50% glycerol, 0.5% BSA and 0.02% sodium azide.
Storage instructions Stable for one year at -20°C from date of shipment. For maximum recovery of product, centrifuge the original vial after thawing and prior to removing the cap. Aliquot to avoid repeated freezing and thawing.
Shipping Gel pack with blue ice.
Precautions The product listed herein is for research use only and is not intended for use in human or clinical diagnosis. Suggested applications of our products are not recommendations to use our products in violation of any patent or as a license. We cannot be responsible for patent infringements or other violations that may occur with the use of this product.

Additional Information

Background CCL7 (C-C Motif Chemokine Ligand 7) is a Protein Coding gene. Diseases associated with CCL7 include Diffuse Gastric Cancer and Status Asthmaticus. Among its related pathways areAkt Signaling and PEDF Induced Signaling. GO annotations related to this gene include heparin binding and CCR1 chemokine receptor binding. An important paralog of this gene is CCL2.
Gene ID 6354
Alternative C-C motif chemokine 7; Monocyte chemoattractant protein 3; Monocyte chemotactic protein 3; MCP-3; NC28; Small-inducible cytokine A7
Others The antibody detects endogenous levels of MCP-3
Accession P80098

Image & description

Fig.1. Immunohistochemical analysis of paraffin-embedded Human-skin, antibody was diluted at 1:100.

Fig.1. Immunohistochemical analysis of paraffin-embedded Human-skin, antibody was diluted at 1:100.

Fig.2. Immunohistochemical analysis of paraffin-embedded Human-colon, antibody was diluted at 1:100.

Fig.2. Immunohistochemical analysis of paraffin-embedded Human-colon, antibody was diluted at 1:100.

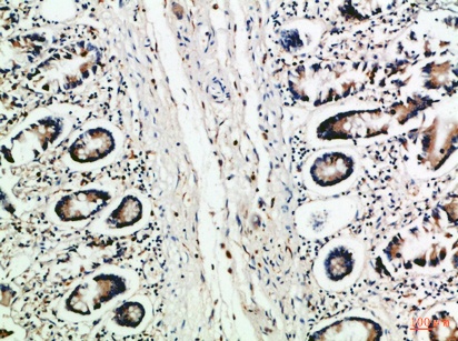
Fig.3. Immunohistochemical analysis of paraffin-embedded Human-colon, antibody was diluted at 1:100.

Fig.3. Immunohistochemical analysis of paraffin-embedded Human-colon, antibody was diluted at 1:100.

This product has been cited in0publications

Reviews

There are no reviews yet.

Be the first to review “MCP-3 Polyclonal Antibody”