Login Register
English
0

Cart

$ 0

MCM7 Polyclonal Antibody

MCM7 Polyclonal Antibody

Views(77) Publications(0) Catalog no(ABP53102)
Datasheet Print Share Email Share
  • Specification
  • FAQ
  • Publications(0)
  • Comments(0)

Specification

Product name MCM7 Polyclonal Antibody
Immunogen Synthesized peptide derived from the Internal region of human MCM7
Host Rabbit
Reactivity Human,Mouse,Rat
Applications WB,IHC,IF,ELISA
Applications notes Optimal working dilutions should be determined experimentally by the investigator. Suggested starting dilutions are as follows: WB 1:500-1:2000;IHC: 1:100-1:300;ELISA 1:20000;IF 1:50-200
Clonality Polyclonal
Preparation method The antibody was affinity-purified from rabbit antiserum by affinity-chromatography using epitope-specific immunogen.
Alternative MCM7; CDC47; MCM2; DNA replication licensing factor MCM7; CDC47 homolog; P1.1-MCM3

Product Properties

Formulation Liquid solution
Concentration 1 mg/ml
Molecular weight 81kD
Storage buffer Liquid in PBS containing 50% glycerol, 0.5% BSA and 0.02% sodium azide.
Storage instructions Stable for one year at -20°C from date of shipment. For maximum recovery of product, centrifuge the original vial after thawing and prior to removing the cap. Aliquot to avoid repeated freezing and thawing.
Shipping Gel pack with blue ice.
Precautions The product listed herein is for research use only and is not intended for use in human or clinical diagnosis. Suggested applications of our products are not recommendations to use our products in violation of any patent or as a license. We cannot be responsible for patent infringements or other violations that may occur with the use of this product.

Additional Information

Background DNA replication licensing factor MCM7 encoded by MCM7 is one of the highly conserved mini-chromosome maintenance proteins (MCM) that are essential for the initiation of eukaryotic genome replication. The hexameric protein complex formed by the MCM proteins is a key component of the pre-replication complex (pre_RC) and may be involved in the formation of replication forks and in the recruitment of other DNA replication related proteins. The MCM complex consisting of this protein and MCM2, 4 and 6 proteins possesses DNA helicase activity, and may act as a DNA unwinding enzyme. Cyclin D1-dependent kinase, CDK4, is found to associate with this protein, and may regulate the binding of this protein with the tumorsuppressor protein RB1/RB. Alternatively spliced transcript variants encoding distinct isoforms have been reported.
Gene ID 4176
Alternative MCM7; CDC47; MCM2; DNA replication licensing factor MCM7; CDC47 homolog; P1.1-MCM3
Others MCM7 Polyclonal Antibody detects endogenous levels of MCM7 protein.
Accession P33993
Observed Band(KD) 81

Image & description

Fig.1. Western Blot analysis of 293 cells using MCM7 Polyclonal Antibody. Secondary antibody (catalog#: A21020) was diluted at 1:20000.

Fig.1. Western Blot analysis of 293 cells using MCM7 Polyclonal Antibody. Secondary antibody (catalog#: A21020) was diluted at 1:20000.

Fig.2. Immunohistochemical analysis of paraffin-embedded human-liver, antibody was diluted at 1:100.

Fig.2. Immunohistochemical analysis of paraffin-embedded human-liver, antibody was diluted at 1:100.

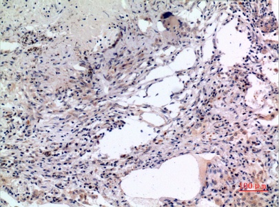
Fig.3. Immunohistochemical analysis of paraffin-embedded human-lung, antibody was diluted at 1:100.

Fig.3. Immunohistochemical analysis of paraffin-embedded human-lung, antibody was diluted at 1:100.

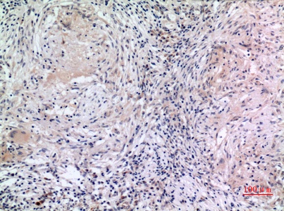
Fig.4. Immunohistochemical analysis of paraffin-embedded human-lung, antibody was diluted at 1:100.

Fig.4. Immunohistochemical analysis of paraffin-embedded human-lung, antibody was diluted at 1:100.

This product has been cited in0publications

Reviews

There are no reviews yet.

Be the first to review “MCM7 Polyclonal Antibody”