Login Register
English
0

Cart

$ 0

MAPK Organizer 1 Polyclonal Antibody

MAPK Organizer 1 Polyclonal Antibody

Views(43) Publications(0) Catalog no(ABP53176)
Datasheet Print Share Email Share
  • Specification
  • FAQ
  • Publications(0)
  • Comments(0)

Specification

Product name MAPK Organizer 1 Polyclonal Antibody
Immunogen Synthesized peptide derived from the Internal region of human MAPK Organizer 1
Host Rabbit
Reactivity Human,Mouse,Rat
Applications WB,IHC,IF,ELISA
Applications notes Optimal working dilutions should be determined experimentally by the investigator. Suggested starting dilutions are as follows: WB 1:500-1:2000;IHC: 1:100-1:300;ELISA 1:20000;IF 1:50-200
Clonality Polyclonal
Preparation method The antibody was affinity-purified from rabbit antiserum by affinity-chromatography using epitope-specific immunogen.
Alternative WDR83; MORG1; WD repeat domain-containing protein 83; Mitogen-activated protein kinase organizer 1; MAPK organizer 1

Product Properties

Formulation Liquid solution
Concentration 1 mg/ml
Molecular weight 34kD
Storage buffer Liquid in PBS containing 50% glycerol, 0.5% BSA and 0.02% sodium azide.
Storage instructions Stable for one year at -20°C from date of shipment. For maximum recovery of product, centrifuge the original vial after thawing and prior to removing the cap. Aliquot to avoid repeated freezing and thawing.
Shipping Gel pack with blue ice.
Precautions The product listed herein is for research use only and is not intended for use in human or clinical diagnosis. Suggested applications of our products are not recommendations to use our products in violation of any patent or as a license. We cannot be responsible for patent infringements or other violations that may occur with the use of this product.

Additional Information

Background WDR83 encodes a member of the WD-40 protein family. WD repeat domain 83 is proposed to function as a molecular scaffold for various multimeric protein complexes. The protein associates with several components of the extracellular signal-regulated kinase (ERK) pathway, and promotes ERK activity in response to serum or other signals. The protein also interacts with egl nine homolog 3 (EGLN3, also known as PHD3) and regulates expression of hypoxia-inducible factor 1, and has been purified as part of the spliceosome. Alternative splicing results in multiple transcript variants.
Gene ID 84292
Alternative WDR83; MORG1; WD repeat domain-containing protein 83; Mitogen-activated protein kinase organizer 1; MAPK organizer 1
Others MAPK Organizer 1 Polyclonal Antibody detects endogenous levels of MAPK Organizer 1 protein.
Accession Q9BRX9
Observed Band(KD) 34

Image & description

Fig.1. Western Blot analysis of MCF7 cells using MAPK Organizer 1 Polyclonal Antibody. Secondary antibody (catalog#: A21020) was diluted at 1:20000.

Fig.1. Western Blot analysis of MCF7 cells using MAPK Organizer 1 Polyclonal Antibody. Secondary antibody (catalog#: A21020) was diluted at 1:20000.

Fig.2. Immunohistochemical analysis of paraffin-embedded human-muscle, antibody was diluted at 1:100.

Fig.2. Immunohistochemical analysis of paraffin-embedded human-muscle, antibody was diluted at 1:100.

Fig.3. Immunohistochemical analysis of paraffin-embedded human-muscle, antibody was diluted at 1:100.

Fig.3. Immunohistochemical analysis of paraffin-embedded human-muscle, antibody was diluted at 1:100.

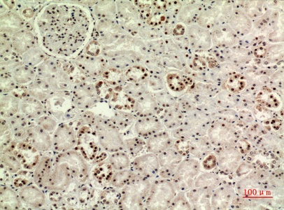
Fig.4. Immunohistochemical analysis of paraffin-embedded human-kidney, antibody was diluted at 1:100.

Fig.4. Immunohistochemical analysis of paraffin-embedded human-kidney, antibody was diluted at 1:100.

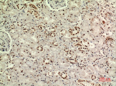
Fig.5. Immunohistochemical analysis of paraffin-embedded human-kidney, antibody was diluted at 1:100.

Fig.5. Immunohistochemical analysis of paraffin-embedded human-kidney, antibody was diluted at 1:100.

Fig.6. Immunohistochemical analysis of paraffin-embedded human-kidney, antibody was diluted at 1:100.

Fig.6. Immunohistochemical analysis of paraffin-embedded human-kidney, antibody was diluted at 1:100.

This product has been cited in0publications

Reviews

There are no reviews yet.

Be the first to review “MAPK Organizer 1 Polyclonal Antibody”