Login Register
English
0

Cart

$ 0

Live Cell Tracking Kit (Green Fluorescence)

Live Cell Tracking Kit (Green Fluorescence)

Views(4787) Publications(2) Catalog no(KTA1002)
Datasheet Print Share Email Share
  • Specification
  • FAQ
  • Publications(2)
  • Comments(0)

Specification

Product name Live Cell Tracking Kit (Green Fluorescence)
Applications notes Abbkine Live Cell Tracking Kit (Green Fluorescence) provides a versatile and well-retained celltracing reagent (CellTracker Green) for monitoring cell movement, location, proliferation, migration, chemotaxis, and invasion. CellTracker Green can passively diffuses into cells and remain colorless and nonfluorescent until its acetate groups are cleaved by intracellular esterases to yield highly fluorescent, amine-reactive carboxyfluorescein succinimidyl ester. The succinimidyl ester group reacts with intracellular amines, forming fluorescent conjugates (Ex/Em= 494/521nm) that are well-retained and can be fixed with aldehyde fixatives.

Product Properties

Kit components • CellTracker Green
• Assay Buffer (5×)
Features & Benefits • Useful for monitoring cell movement, location, proliferation, migration, chemotaxis, and invasion.
• The CellTracker Green probes are well retained in living cells through several generations and can display fluorescence for at least a week. The probes are transferred to daughter cells, but are not transferred to adjacent cells in a population.
• Optimized for flow cytometery or fluorescent microscopy.
Usage notes Thaw all the components at room temperature before opening
Storage instructions Refer to list of materials supplied for storage conditions of individual components. Stable for at least 12 months at recommended temperature from date of shipment.
Shipping Gel pack with blue ice.
Precautions The product listed herein is for research use only and is not intended for use in human or clinical diagnosis. Suggested applications of our products are not recommendations to use our products in violation of any patent or as a license. We cannot be responsible for patent infringements or other violations that may occur with the use of this product.

Additional Information

Background Cell movement and location studies require specialized probes that are nontoxic to living cells. Commercial Live Cell Tracking Kits provide a convenient method for monitoring cell movement, location, proliferation, migration, chemotaxis, and invasion.

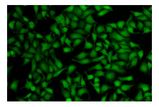
Image & description

Fig. Hela cells stained with Abbkine Live Cell Tracking Kit (Green Fluorescence).

Fig. Hela cells stained with Abbkine Live Cell Tracking Kit (Green Fluorescence).

This product has been cited in2publications

Reviews

There are no reviews yet.

Be the first to review “Live Cell Tracking Kit (Green Fluorescence)”