Login Register
English
0

Cart

$ 0

Keratin-pan Polyclonal Antibody

Keratin-pan Polyclonal Antibody

Views(76) Publications(0) Catalog no(ABP53060)
Datasheet Print Share Email Share
  • Specification
  • FAQ
  • Publications(0)
  • Comments(0)

Specification

Product name Keratin-pan Polyclonal Antibody
Immunogen Synthesized peptide derived from human Keratin-pan around the non-acetylation site of K185
Host Rabbit
Reactivity Human,Mouse,Rat
Applications WB,IHC,IF,ELISA
Applications notes Optimal working dilutions should be determined experimentally by the investigator. Suggested starting dilutions are as follows: WB 1:500-1:2000;IHC: 1:100-1:300;ELISA 1:20000;IF 1:50-200
Clonality Polyclonal
Preparation method The antibody was affinity-purified from rabbit antiserum by affinity-chromatography using epitope-specific immunogen.
Alternative KRT2; KRT76; KRT3; KRT5; KRT6A; KRT6B; KRT6C; KRT71; KRT72; KRT73; KRT74; KRT75; KRT79; KRT8; KRT84; Keratin, type II cytoskeletal 2 epidermal; Keratin, type II cytoskeletal 2 oral; Keratin, type II cytoskeletal 3; Keratin, type II cytoskeletal 5; Keratin, type II cytoskeletal 6A; Keratin, type II cytoskeletal 6B; Keratin, type II cytoskeletal 6C; Keratin, type II cytoskeletal 71; Keratin, type II cytoskeletal 72; Keratin, type II cytoskeletal 73; Keratin, type II cytoskeletal 74;

Product Properties

Formulation Liquid solution
Concentration 1 mg/ml
Molecular weight 65kD
Storage buffer Liquid in PBS containing 50% glycerol, 0.5% BSA and 0.02% sodium azide.
Storage instructions Stable for one year at -20°C from date of shipment. For maximum recovery of product, centrifuge the original vial after thawing and prior to removing the cap. Aliquot to avoid repeated freezing and thawing.
Shipping Gel pack with blue ice.
Precautions The product listed herein is for research use only and is not intended for use in human or clinical diagnosis. Suggested applications of our products are not recommendations to use our products in violation of any patent or as a license. We cannot be responsible for patent infringements or other violations that may occur with the use of this product.

Additional Information

Background Keratin 2 encoded by KRT2 is a member of the keratin gene family. The type II cytokeratins consist of basic or neutral proteins which are arranged in pairs of heterotypic keratin chains coexpressed during differentiation of simple and stratified epithelial tissues. This type II cytokeratin is expressed largely in the upper spinous layer of epidermal keratinocytes and mutations in this gene have been associated with bullous congenital ichthyosiform erythroderma. The type II cytokeratins are clustered in a region of chromosome 12q12-q13.
Gene ID 3849
Alternative KRT2; KRT76; KRT3; KRT5; KRT6A; KRT6B; KRT6C; KRT71; KRT72; KRT73; KRT74; KRT75; KRT79; KRT8; KRT84; Keratin, type II cytoskeletal 2 epidermal; Keratin, type II cytoskeletal 2 oral; Keratin, type II cytoskeletal 3; Keratin, type II cytoskeletal 5; Keratin, type II cytoskeletal 6A; Keratin, type II cytoskeletal 6B; Keratin, type II cytoskeletal 6C; Keratin, type II cytoskeletal 71; Keratin, type II cytoskeletal 72; Keratin, type II cytoskeletal 73; Keratin, type II cytoskeletal 74;
Others Keratin-pan Polyclonal Antibody detects endogenous levels of Keratin-pan protein.
Accession P35908
Observed Band(KD) 65

Image & description

Fig.1. Western Blot analysis of Jurkat cells using Keratin-pan Polyclonal Antibody. Secondary antibody (catalog#: A21020) was diluted at 1:20000.

Fig.1. Western Blot analysis of Jurkat cells using Keratin-pan Polyclonal Antibody. Secondary antibody (catalog#: A21020) was diluted at 1:20000.

Fig.2. Immunohistochemical analysis of paraffin-embedded human-mammary-cancer, antibody was diluted at 1:100.

Fig.2. Immunohistochemical analysis of paraffin-embedded human-mammary-cancer, antibody was diluted at 1:100.

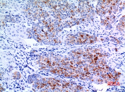
Fig.3. Immunohistochemical analysis of paraffin-embedded human-mammary-cancer, antibody was diluted at 1:100.

Fig.3. Immunohistochemical analysis of paraffin-embedded human-mammary-cancer, antibody was diluted at 1:100.

Fig.4. Immunohistochemical analysis of paraffin-embedded human-mammary-cancer, antibody was diluted at 1:100.

Fig.4. Immunohistochemical analysis of paraffin-embedded human-mammary-cancer, antibody was diluted at 1:100.

This product has been cited in0publications

Reviews

There are no reviews yet.

Be the first to review “Keratin-pan Polyclonal Antibody”