Login Register
English
0

Cart

$ 0

Jagged1 Polyclonal Antibody

Jagged1 Polyclonal Antibody

Views(93) Publications(1) Catalog no(ABP53132)
Datasheet Print Share Email Share
  • Specification
  • FAQ
  • Publications(1)
  • Comments(0)

Specification

Product name Jagged1 Polyclonal Antibody
Immunogen Synthesized peptide derived from the Internal region of human Jagged1
Host Rabbit
Reactivity Human,Mouse,Rat
Applications IF,WB,IHC,ELISA
Applications notes Optimal working dilutions should be determined experimentally by the investigator. Suggested starting dilutions are as follows: IF 1:50-200;WB 1:500-1:2000;IHC: 1:100-1:300;ELISA 1:20000;Not yet tested in other applications;
Clonality Polyclonal
Preparation method The antibody was affinity-purified from rabbit antiserum by affinity-chromatography using epitope-specific immunogen.
Alternative JAG1; JAGL1; Protein jagged-1; Jagged1; hJ1; CD339

Product Properties

Formulation Liquid solution
Concentration 1 mg/ml
Molecular weight 140kD
Storage buffer Liquid in PBS containing 50% glycerol, 0.5% BSA and 0.02% sodium azide.
Storage instructions Stable for one year at -20°C from date of shipment. For maximum recovery of product, centrifuge the original vial after thawing and prior to removing the cap. Aliquot to avoid repeated freezing and thawing.
Shipping Gel pack with blue ice.
Precautions The product listed herein is for research use only and is not intended for use in human or clinical diagnosis. Suggested applications of our products are not recommendations to use our products in violation of any patent or as a license. We cannot be responsible for patent infringements or other violations that may occur with the use of this product.

Additional Information

Background The jagged 1 protein encoded by JAG1 is the human homolog of the Drosophilia jagged protein. Human jagged 1 is the ligand for the receptor notch 1, the latter a human homolog of the Drosophilia jagged receptor notch. Mutations that alter the jagged 1 protein cause Alagille syndrome. Jagged 1 signalling through notch 1 has also been shown to play a role in hematopoiesis.
Gene ID 182
Alternative JAG1; JAGL1; Protein jagged-1; Jagged1; hJ1; CD339
Others Jagged1 Polyclonal Antibody detects endogenous levels of Jagged1 protein.
Accession P78504
Observed Band(KD) 140

Image & description

Fig.1. Western Blot analysis of HeLa cells using Jagged1 Polyclonal Antibody.

Fig.1. Western Blot analysis of HeLa cells using Jagged1 Polyclonal Antibody.

Fig.2. Immunohistochemical analysis of paraffin-embedded mouse kidney, antibody was diluted at 1:100.

Fig.2. Immunohistochemical analysis of paraffin-embedded mouse kidney, antibody was diluted at 1:100.

Fig.3. Immunofluorescence analysis of human liver tissue. 1, Jagged1 Polyclonal Antibody (red) was diluted at 1:200 (4°C, overnight). 2, Cy3 Labeled secondary antibody was diluted at 1:300 (room temperature, 50min). 3, Picture B: DAPI (blue) 10min. Picture A: Target. Picture B: DAPI. Picture C: merge of A+B.

Fig.3. Immunofluorescence analysis of human liver tissue. 1, Jagged1 Polyclonal Antibody (red) was diluted at 1:200 (4°C, overnight). 2, Cy3 Labeled secondary antibody was diluted at 1:300 (room temperature, 50min). 3, Picture B: DAPI (blue) 10min. Picture A: Target. Picture B: DAPI. Picture C: merge of A+B.

Fig.4. Immunofluorescence analysis of rat spleen tissue. 1, Jagged1 Polyclonal Antibody (red) was diluted at 1:200 (4°C, overnight). 2, Cy3 Labeled secondary antibody was diluted at 1:300 (room temperature, 50min). 3, Picture B: DAPI (blue) 10min. Picture A: Target. Picture B: DAPI. Picture C: merge of A+B.

Fig.4. Immunofluorescence analysis of rat spleen tissue. 1, Jagged1 Polyclonal Antibody (red) was diluted at 1:200 (4°C, overnight). 2, Cy3 Labeled secondary antibody was diluted at 1:300 (room temperature, 50min). 3, Picture B: DAPI (blue) 10min. Picture A: Target. Picture B: DAPI. Picture C: merge of A+B.

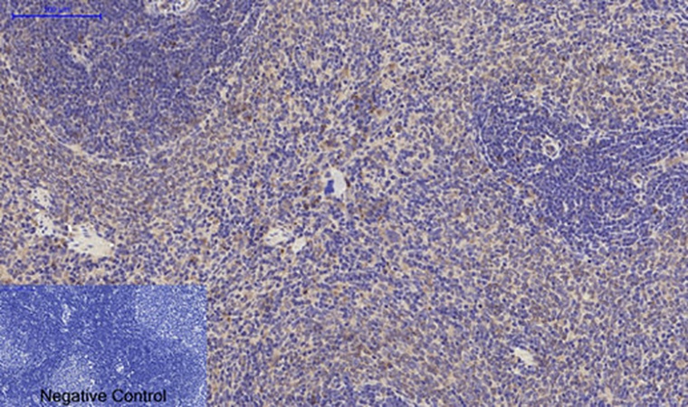
Fig.5. Immunohistochemical analysis of paraffin-embedded rat spleen tissue. 1, Jagged1 Polyclonal Antibody was diluted at 1:200 (4°C, overnight). 2, Sodium citrate pH 6.0 was used for antibody retrieval (>98°C, 20min). 3, secondary antibody was diluted at 1:200 (room temperature, 30min). Negative control was used by secondary antibody only.

Fig.5. Immunohistochemical analysis of paraffin-embedded rat spleen tissue. 1, Jagged1 Polyclonal Antibody was diluted at 1:200 (4°C, overnight). 2, Sodium citrate pH 6.0 was used for antibody retrieval (>98°C, 20min). 3, secondary antibody was diluted at 1:200 (room temperature, 30min). Negative control was used by secondary antibody only.

This product has been cited in1publications

Reviews

There are no reviews yet.

Be the first to review “Jagged1 Polyclonal Antibody”