Login Register
English
0

Cart

$ 0

IFN-αR2 Polyclonal Antibody

IFN-αR2 Polyclonal Antibody

Views(67) Publications(0) Catalog no(ABP53098)
Datasheet Print Share Email Share
  • Specification
  • FAQ
  • Publications(0)
  • Comments(0)

Specification

Product name IFN-αR2 Polyclonal Antibody
Immunogen Synthesized peptide derived from the N-terminal region of human IFN-αR2
Host Rabbit
Reactivity Human,Mouse
Applications WB,IHC,IF,ELISA
Applications notes Optimal working dilutions should be determined experimentally by the investigator. Suggested starting dilutions are as follows: WB 1:500-1:2000;IHC: 1:100-1:300;ELISA 1:20000;IF 1:50-200
Clonality Polyclonal
Preparation method The antibody was affinity-purified from rabbit antiserum by affinity-chromatography using epitope-specific immunogen.
Alternative IFNAR2; IFNABR; IFNARB; Interferon alpha/beta receptor 2; IFN-R-2; IFN-alpha binding protein; IFN-alpha/beta receptor 2; Interferon alpha binding protein; Type I interferon receptor 2

Product Properties

Formulation Liquid solution
Concentration 1 mg/ml
Molecular weight 57kD
Storage buffer Liquid in PBS containing 50% glycerol, 0.5% BSA and 0.02% sodium azide.
Storage instructions Stable for one year at -20°C from date of shipment. For maximum recovery of product, centrifuge the original vial after thawing and prior to removing the cap. Aliquot to avoid repeated freezing and thawing.
Shipping Gel pack with blue ice.
Precautions The product listed herein is for research use only and is not intended for use in human or clinical diagnosis. Suggested applications of our products are not recommendations to use our products in violation of any patent or as a license. We cannot be responsible for patent infringements or other violations that may occur with the use of this product.

Additional Information

Background Interferon alpha/beta receptor 2 encoded by IFNAR2 is a type I membrane protein that forms one of the two chains of a receptor for interferons alpha and beta. Binding and activation of the receptor stimulates Janus protein kinases, which in turn phosphorylate several proteins, including STAT1 and STAT2. Multiple transcript variants encoding at least two different isoforms have been found for this gene.
Gene ID 3455
Alternative IFNAR2; IFNABR; IFNARB; Interferon alpha/beta receptor 2; IFN-R-2; IFN-alpha binding protein; IFN-alpha/beta receptor 2; Interferon alpha binding protein; Type I interferon receptor 2
Others IFN-αR2 Polyclonal Antibody detects endogenous levels of IFN-αR2 protein.
Accession P48551
Observed Band(KD) 57

Image & description

Fig.1. Western Blot analysis of AD293 cells using IFN-αR2 Polyclonal Antibody. Secondary antibody (catalog#: A21020) was diluted at 1:20000.

Fig.1. Western Blot analysis of AD293 cells using IFN-αR2 Polyclonal Antibody. Secondary antibody (catalog#: A21020) was diluted at 1:20000.

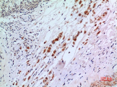
Fig.2. Immunohistochemical analysis of paraffin-embedded human-brain, antibody was diluted at 1:100.

Fig.2. Immunohistochemical analysis of paraffin-embedded human-brain, antibody was diluted at 1:100.

This product has been cited in0publications

Reviews

There are no reviews yet.

Be the first to review “IFN-αR2 Polyclonal Antibody”