Login Register
English
0

Cart

$ 0

Granzyme M Polyclonal Antibody

Granzyme M Polyclonal Antibody

Views(89) Publications(0) Catalog no(ABP58709)
Datasheet Print Share Email Share
  • Specification
  • FAQ
  • Publications(0)
  • Comments(0)

Specification

Product name Granzyme M Polyclonal Antibody
Immunogen Synthesized peptide derived from part region of human Granzyme M protein at amino acid sequence of 207-256
Host Rabbit
Reactivity Human,Rat
Applications IHC,IF,ELISA
Applications notes Optimal working dilutions should be determined experimentally by the investigator. Suggested starting dilutions are as follows: IHC 1:50-200;ELISA 1:10000-20000;IF 1:50-200
Clonality Polyclonal
Preparation method The antibody was affinity-purified from rabbit antiserum by affinity-chromatography using epitope-specific immunogen.
Alternative Granzyme M; Met-1 serine protease; Hu-Met-1; Met-ase; Natural killer cell granular protease

Product Properties

Formulation Liquid solution
Concentration 1 mg/ml
Storage buffer Liquid in PBS containing 50% glycerol, 0.5% BSA and 0.02% sodium azide.
Storage instructions Stable for one year at -20°C from date of shipment. For maximum recovery of product, centrifuge the original vial after thawing and prior to removing the cap. Aliquot to avoid repeated freezing and thawing.
Shipping Gel pack with blue ice.
Precautions The product listed herein is for research use only and is not intended for use in human or clinical diagnosis. Suggested applications of our products are not recommendations to use our products in violation of any patent or as a license. We cannot be responsible for patent infringements or other violations that may occur with the use of this product.

Additional Information

Background GZMM (Granzyme M) is a Protein Coding gene. Diseases associated with GZMM include Adrenal Insufficiency, Congenital, With 46Xy Sex Reversal, Partial Or Complete. Among its related pathways are Creation of C4 and C2 activators and Granzyme Pathway.
Gene ID 3004
Alternative Granzyme M; Met-1 serine protease; Hu-Met-1; Met-ase; Natural killer cell granular protease
Others The antibody detects endogenous levels of Granzyme M
Accession P51124

Image & description

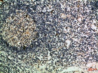
Fig.1. Immunohistochemical analysis of paraffin-embedded Human-tonsil, antibody was diluted at 1:100.

Fig.1. Immunohistochemical analysis of paraffin-embedded Human-tonsil, antibody was diluted at 1:100.

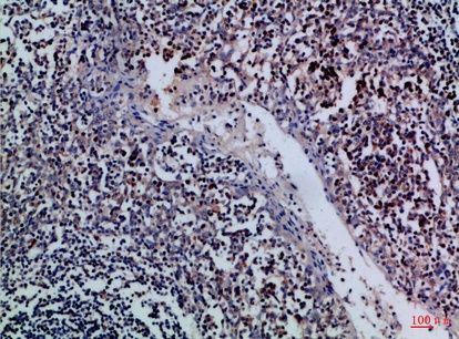
Fig.2. Immunohistochemical analysis of paraffin-embedded Human-lymph, antibody was diluted at 1:100.

Fig.2. Immunohistochemical analysis of paraffin-embedded Human-lymph, antibody was diluted at 1:100.

Fig.3. Immunohistochemical analysis of paraffin-embedded Human-lymph, antibody was diluted at 1:100.

Fig.3. Immunohistochemical analysis of paraffin-embedded Human-lymph, antibody was diluted at 1:100.

This product has been cited in0publications

Reviews

There are no reviews yet.

Be the first to review “Granzyme M Polyclonal Antibody”