Login Register
English
0

Cart

$ 0

Gamma Tubulin Mouse Monoclonal Antibody (6C12)

Gamma Tubulin Mouse Monoclonal Antibody (6C12)

Views(101) Publications(0) Catalog no(ABM40307)
Datasheet Print Share Email Share
  • Specification
  • FAQ
  • Publications(0)
  • Comments(0)

Specification

Product name Gamma Tubulin Mouse Monoclonal Antibody (6C12)
Immunogen Synthetic Peptide of Gamma Tubulin
Host Mouse
Reactivity Human,Rat,Mouse
Applications WB,IHC,IF
Applications notes Optimal working dilutions should be determined experimentally by the investigator. Suggested starting dilutions are as follows: WB 1:1000-2000;IHC 1:100-200;IF 1:50-200
Clonality Monoclonal
Preparation method The antibody was affinity-purified from mouse ascites by affinity-chromatography using specific immunogen.
Alternative TUBG1

Product Properties

Formulation Liquid solution
Concentration 1 mg/ml
Molecular weight 50kD
Storage buffer Liquid in PBS containing 50% glycerol, 0.5% BSA and 0.02% sodium azide.
Storage instructions Stable for one year at -20°C from date of shipment. For maximum recovery of product, centrifuge the original vial after thawing and prior to removing the cap. Aliquot to avoid repeated freezing and thawing.
Shipping Gel pack with blue ice.
Precautions The product listed herein is for research use only and is not intended for use in human or clinical diagnosis. Suggested applications of our products are not recommendations to use our products in violation of any patent or as a license. We cannot be responsible for patent infringements or other violations that may occur with the use of this product.

Additional Information

Background TUBG1 (tubulin gamma 1) encodes a member of the tubulin superfamily. The encoded protein localizes to the centrosome where it binds to microtubules as part of a complex referred to as the gamma-tubulin ring complex. The protein mediates microtubule nucleation and is required for microtubule formation and progression of the cell cycle. A pseudogene of TUBG1 is found on chromosome 7.
Gene ID 7283
Alternative TUBG1
Others Gamma Tubulin protein detects endogenous levels of TUBG1.
Accession P23258
Observed Band(KD) 50

Image & description

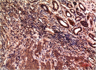
Fig.1. Immunohistochemical analysis of paraffin-embedded Human Colon Carcinoma Tissue using Gamma Tubulin Mouse mAb diluted at 1:200.

Fig.1. Immunohistochemical analysis of paraffin-embedded Human Colon Carcinoma Tissue using Gamma Tubulin Mouse mAb diluted at 1:200.

Fig.2. Immunohistochemical analysis of paraffin-embedded Human Breast Carcinoma Tissue using Gamma Tubulin Mouse mAb diluted at 1:200.

Fig.2. Immunohistochemical analysis of paraffin-embedded Human Breast Carcinoma Tissue using Gamma Tubulin Mouse mAb diluted at 1:200.

Fig.3. Western Blot analysis of paraffin-embedded JurkatHelaMouse-brainRat-brain using Gamma Tubulin Mouse mAb diluted at 1:1000.

Fig.3. Western Blot analysis of paraffin-embedded JurkatHelaMouse-brainRat-brain using Gamma Tubulin Mouse mAb diluted at 1:1000.

This product has been cited in0publications

Reviews

There are no reviews yet.

Be the first to review “Gamma Tubulin Mouse Monoclonal Antibody (6C12)”