Login Register
English
0

Cart

$ 0

FoxO3A (phospho Ser253) Polyclonal Antibody

FoxO3A (phospho Ser253) Polyclonal Antibody

Views(88) Publications(0) Catalog no(ABP54309)
Datasheet Print Share Email Share
  • Specification
  • FAQ
  • Publications(0)
  • Comments(0)

Specification

Product name FoxO3A (phospho Ser253) Polyclonal Antibody
Immunogen Synthesized peptide derived from human FoxO3A around the phosphorylation site of S253
Host Rabbit
Reactivity Human,Mouse,Rat,Zebrafish
Applications WB,IHC,IF,ELISA
Applications notes Optimal working dilutions should be determined experimentally by the investigator. Suggested starting dilutions are as follows: WB 1:500-1:2000;IHC 1:100-1:300;IF 1:200-1:1000;ELISA 1:20000;Not yet tested in other applications.
Clonality Polyclonal
Preparation method The antibody was affinity-purified from rabbit antiserum by affinity-chromatography using epitope-specific immunogen.
Alternative FOXO3; FKHRL1; FOXO3A; Forkhead box protein O3; AF6q21 protein; Forkhead in rhabdomyosarcoma-like 1

Product Properties

Formulation Liquid solution
Concentration 1 mg/ml
Molecular weight 90kD
Storage buffer Liquid in PBS containing 50% glycerol, 0.5% BSA and 0.02% sodium azide.
Storage instructions Stable for one year at -20°C from date of shipment. For maximum recovery of product, centrifuge the original vial after thawing and prior to removing the cap. Aliquot to avoid repeated freezing and thawing.
Shipping Gel pack with blue ice.
Precautions The product listed herein is for research use only and is not intended for use in human or clinical diagnosis. Suggested applications of our products are not recommendations to use our products in violation of any patent or as a license. We cannot be responsible for patent infringements or other violations that may occur with the use of this product.

Additional Information

Background FOXO3 belongs to the forkhead family of transcription factors which are characterized by a distinct forkhead domain. FOXO3 likely functions as a trigger for apoptosis through expression of genes necessary for cell death. Translocation of this gene with the MLL gene is associated with secondary acute leukemia. Alternatively spliced transcript variants encoding the same protein have been observed.
Gene ID 2309
Alternative FOXO3; FKHRL1; FOXO3A; Forkhead box protein O3; AF6q21 protein; Forkhead in rhabdomyosarcoma-like 1
Others Phospho-FoxO3A (S253) Polyclonal Antibody detects endogenous levels of FoxO3A protein only when phosphorylated at S253.
Accession O43524
Observed Band(KD) 97

Image & description

Fig.1. Western Blot analysis of HELA cells using Phospho-FoxO3A (S253) Polyclonal Antibody diluted at 1:2000.

Fig.1. Western Blot analysis of HELA cells using Phospho-FoxO3A (S253) Polyclonal Antibody diluted at 1:2000.

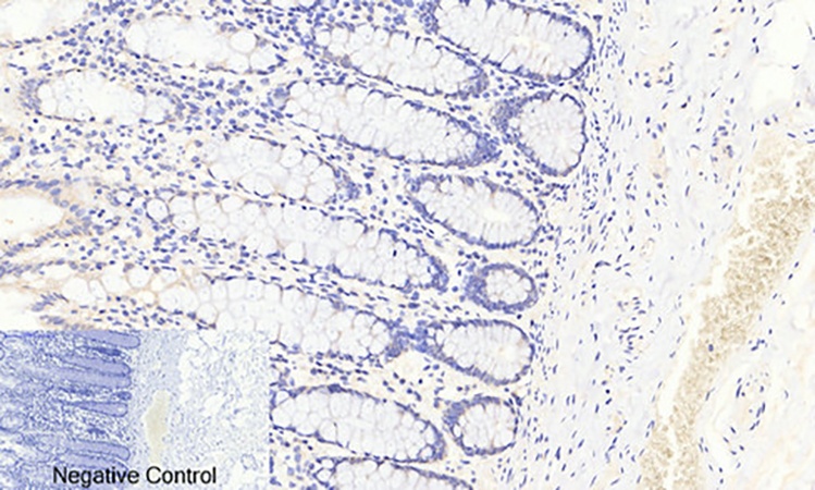
Fig.2. Immunohistochemical analysis of paraffin-embedded human colon tissue. 1, FoxO3A (phospho Ser253) Polyclonal Antibody was diluted at 1:200 (4°C, overnight). 2, Sodium citrate pH 6.0 was used for antibody retrieval (>98°C, 20min). 3, secondary antibody was diluted at 1:200 (room temperature, 30min). Negative control was used by secondary antibody only.

Fig.2. Immunohistochemical analysis of paraffin-embedded human colon tissue. 1, FoxO3A (phospho Ser253) Polyclonal Antibody was diluted at 1:200 (4°C, overnight). 2, Sodium citrate pH 6.0 was used for antibody retrieval (>98°C, 20min). 3, secondary antibody was diluted at 1:200 (room temperature, 30min). Negative control was used by secondary antibody only.

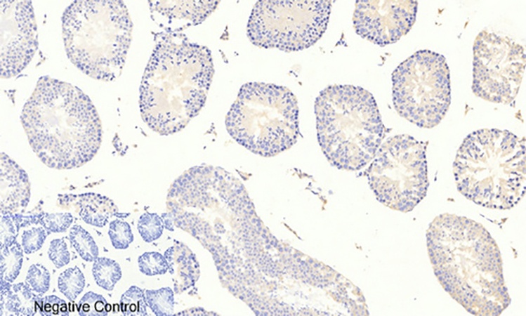
Fig.3. Immunohistochemical analysis of paraffin-embedded mouse testis tissue. 1, FoxO3A (phospho Ser253) Polyclonal Antibody was diluted at 1:200 (4°C, overnight). 2, Sodium citrate pH 6.0 was used for antibody retrieval (>98°C, 20min). 3, secondary antibody was diluted at 1:200 (room temperature, 30min). Negative control was used by secondary antibody only.

Fig.3. Immunohistochemical analysis of paraffin-embedded mouse testis tissue. 1, FoxO3A (phospho Ser253) Polyclonal Antibody was diluted at 1:200 (4°C, overnight). 2, Sodium citrate pH 6.0 was used for antibody retrieval (>98°C, 20min). 3, secondary antibody was diluted at 1:200 (room temperature, 30min). Negative control was used by secondary antibody only.

Fig.4. Immunohistochemical analysis of paraffin-embedded rat testis tissue. 1, FoxO3A (phospho Ser253) Polyclonal Antibody was diluted at 1:200 (4°C, overnight). 2, Sodium citrate pH 6.0 was used for antibody retrieval (>98°C, 20min). 3, secondary antibody was diluted at 1:200 (room temperature, 30min). Negative control was used by secondary antibody only.

Fig.4. Immunohistochemical analysis of paraffin-embedded rat testis tissue. 1, FoxO3A (phospho Ser253) Polyclonal Antibody was diluted at 1:200 (4°C, overnight). 2, Sodium citrate pH 6.0 was used for antibody retrieval (>98°C, 20min). 3, secondary antibody was diluted at 1:200 (room temperature, 30min). Negative control was used by secondary antibody only.

This product has been cited in0publications

Reviews

There are no reviews yet.

Be the first to review “FoxO3A (phospho Ser253) Polyclonal Antibody”