Login Register
English
0

Cart

$ 0

EPG5 Polyclonal Antibody

EPG5 Polyclonal Antibody

Views(52) Publications(0) Catalog no(ABP58488)
Datasheet Print Share Email Share
  • Specification
  • FAQ
  • Publications(0)
  • Comments(0)

Specification

Product name EPG5 Polyclonal Antibody
Immunogen Synthesized peptide derived from part region of human EPG5 protein at amino acid sequence of 141-190
Host Rabbit
Reactivity Human,Mouse
Applications WB,IHC,IF
Applications notes Optimal working dilutions should be determined experimentally by the investigator. Suggested starting dilutions are as follows: WB 1:1000-2000;IHC 1:200-500;IF 1:50-200
Clonality Polyclonal
Preparation method The antibody was affinity-purified from rabbit antiserum by affinity-chromatography using epitope-specific immunogen.
Alternative Ectopic P granules protein 5 homolog

Product Properties

Formulation Liquid solution
Concentration 1 mg/ml
Storage buffer Liquid in PBS containing 50% glycerol, 0.5% BSA and 0.02% sodium azide.
Storage instructions Stable for one year at -20°C from date of shipment. For maximum recovery of product, centrifuge the original vial after thawing and prior to removing the cap. Aliquot to avoid repeated freezing and thawing.
Shipping Gel pack with blue ice.
Precautions The product listed herein is for research use only and is not intended for use in human or clinical diagnosis. Suggested applications of our products are not recommendations to use our products in violation of any patent or as a license. We cannot be responsible for patent infringements or other violations that may occur with the use of this product.

Additional Information

Background EPG5 (Ectopic P-Granules Autophagy Protein 5 Homolog) is a Protein Coding gene. Diseases associated with EPG5 include Vici Syndrome and Spastic Paraplegia 49, Autosomal Recessive. Involved in autophagy. May play a role in a late step of autophagy, such as clearance of autophagosomal cargo.
Gene ID 57724
Alternative Ectopic P granules protein 5 homolog
Others The antibody detects endogenous levels of EPG5
Accession Q9HCE0

Image & description

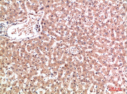
Fig.1. Immunohistochemical analysis of paraffin-embedded human-liver, antibody was diluted at 1:200.

Fig.1. Immunohistochemical analysis of paraffin-embedded human-liver, antibody was diluted at 1:200.

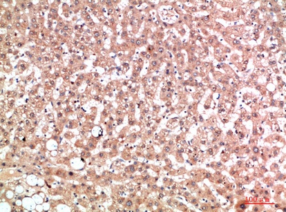
Fig.2. Immunohistochemical analysis of paraffin-embedded human-liver, antibody was diluted at 1:200.

Fig.2. Immunohistochemical analysis of paraffin-embedded human-liver, antibody was diluted at 1:200.

This product has been cited in0publications

Reviews

There are no reviews yet.

Be the first to review “EPG5 Polyclonal Antibody”