Login Register
English
0

Cart

$ 0

Eotaxin-2 Polyclonal Antibody

Eotaxin-2 Polyclonal Antibody

Views(43) Publications(0) Catalog no(ABP58486)
Datasheet Print Share Email Share
  • Specification
  • FAQ
  • Publications(0)
  • Comments(0)

Specification

Product name Eotaxin-2 Polyclonal Antibody
Immunogen Synthesized peptide derived from part region of human Eotaxin-2 protein at amino acid sequence of 61-110
Host Rabbit
Reactivity Human,Mouse
Applications IHC,IF,ELISA
Applications notes Optimal working dilutions should be determined experimentally by the investigator. Suggested starting dilutions are as follows: IHC 1:50-200;ELISA 1:10000-20000;IF 1:50-200
Clonality Polyclonal
Preparation method The antibody was affinity-purified from rabbit antiserum by affinity-chromatography using epitope-specific immunogen.
Alternative C-C motif chemokine 24; CK-beta-6; Eosinophil chemotactic protein 2; Eotaxin-2; Myeloid progenitor inhibitory factor 2; MPIF-2; Small-inducible cytokine A24

Product Properties

Formulation Liquid solution
Concentration 1 mg/ml
Storage buffer Liquid in PBS containing 50% glycerol, 0.5% BSA and 0.02% sodium azide.
Storage instructions Stable for one year at -20°C from date of shipment. For maximum recovery of product, centrifuge the original vial after thawing and prior to removing the cap. Aliquot to avoid repeated freezing and thawing.
Shipping Gel pack with blue ice.
Precautions The product listed herein is for research use only and is not intended for use in human or clinical diagnosis. Suggested applications of our products are not recommendations to use our products in violation of any patent or as a license. We cannot be responsible for patent infringements or other violations that may occur with the use of this product.

Additional Information

Background CCL24 belongs to the subfamily of small cytokine CC genes. Cytokines are a family of secreted proteins involved in immunoregulatory and inflammatory processes. The CC cytokines are proteins characterized by two adjacent cysteines. The cytokine encoded by CCL24 displays chemotactic activity on resting T lymphocytes, a minimal activity on neutrophils, and is negative on monocytes and activated T lymphocytes. The protein is also a strong suppressor of colony formation by a multipotential hematopoietic progenitor cell line. CCL24 (C-C Motif Chemokine Ligand 24) is a Protein Coding gene. Diseases associated with CCL24 include Allergic Asthma and Asthma. Among its related pathways are Akt Signaling and PEDF Induced Signaling.
Gene ID 6369
Alternative C-C motif chemokine 24; CK-beta-6; Eosinophil chemotactic protein 2; Eotaxin-2; Myeloid progenitor inhibitory factor 2; MPIF-2; Small-inducible cytokine A24
Others The antibody detects endogenous levels of Eotaxin-2
Accession O00175

Image & description

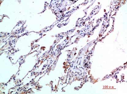
Fig.1. Immunohistochemical analysis of paraffin-embedded human-lung, antibody was diluted at 1:200.

Fig.1. Immunohistochemical analysis of paraffin-embedded human-lung, antibody was diluted at 1:200.

Fig.2. Immunohistochemical analysis of paraffin-embedded human-lung, antibody was diluted at 1:200.

Fig.2. Immunohistochemical analysis of paraffin-embedded human-lung, antibody was diluted at 1:200.

This product has been cited in0publications

Reviews

There are no reviews yet.

Be the first to review “Eotaxin-2 Polyclonal Antibody”