Login Register
English
0

Cart

$ 0

eIF4A1 Monoclonal Antibody

eIF4A1 Monoclonal Antibody

Views(55) Publications(0) Catalog no(ABM0044)
Datasheet Print Share Email Share
  • Specification
  • FAQ
  • Publications(0)
  • Comments(0)

Specification

Product name eIF4A1 Monoclonal Antibody
Immunogen Synthetic Peptide
Host Mouse
Reactivity Human,Mouse,Rat
Applications WB,IHC,IF
Applications notes Optimal working dilutions should be determined experimentally by the investigator. Suggested starting dilutions are as follows: WB 1:1000-3000;IF 1:100-200;IHC 1:50-300
Clonality Monoclonal
Preparation method The antibody was affinity-purified from mouse ascites by affinity-chromatography using specific immunogen.

Product Properties

Formulation Liquid solution
Concentration 1 mg/ml
Molecular weight 48kD
Storage buffer PBS, pH 7.4, containing 0.5%BSA, 0.02% sodium azide as Preservative and 50% Glycerol.
Storage instructions Stable for one year at -20°C from date of shipment. For maximum recovery of product, centrifuge the original vial after thawing and prior to removing the cap. Aliquot to avoid repeated freezing and thawing.
Shipping Gel pack with blue ice.
Precautions The product listed herein is for research use only and is not intended for use in human or clinical diagnosis. Suggested applications of our products are not recommendations to use our products in violation of any patent or as a license. We cannot be responsible for patent infringements or other violations that may occur with the use of this product.

Additional Information

Background eIF4A1 is a 406 amino acid ATP-dependent RNA helicase belonging to the DEAD box helicase family and eukaryotic initiation factor-4A subfamily with a helicase ATP-binding domain and a helicase C-terminal domain. eIF4F eukaryotic translation initiation complex is formed by the association of eIF4A1 with eIF4E and eIF4E kinase (MNK1), eIF4B, eIF4G, PABPC1. It is closely related to eIF4A2. eIF4A1 is a eukaryotic translation initiation factor involved in protein translation/synthesis where it helps in unwinding the secondary structure of RNA in the 5'-UTR of mRNAs, cap recognition, and is necessary for efficient binding mRNA to the 40S small ribosomal subunit, as well as subsequent scanning for the initiator codon. Ubiquitous expression of the enzyme eIF4A1 is seen in most tissues.
Gene ID 1973
Others The antibody detects endogenous eIF4A1 protein.
Accession P60842

Image & description

Fig.1. Western blot analysis of 1) 293T, 2) Hela, 3) HepG2, 4) mouse brain tissue.

Fig.1. Western blot analysis of 1) 293T, 2) Hela, 3) HepG2, 4) mouse brain tissue.

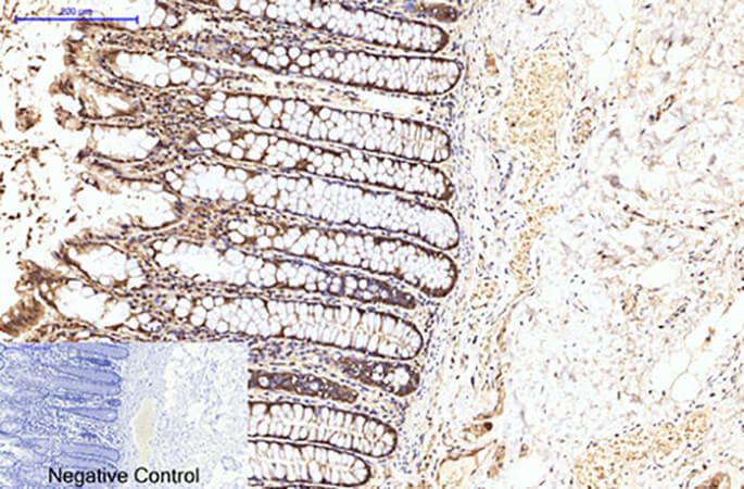
Fig.2. Immunohistochemical analysis of paraffin-embedded human colon cancer tissue. 1, eIF4A1 Monoclonal Antibody was diluted at 1:200 (4°C, overnight). 2, Sodium citrate pH 6.0 was used for antibody retrieval (>98°C, 20min). 3, secondary antibody was diluted at 1:200 (room temperature, 30min). Negative control was used by secondary antibody only.

Fig.2. Immunohistochemical analysis of paraffin-embedded human colon cancer tissue. 1, eIF4A1 Monoclonal Antibody was diluted at 1:200 (4°C, overnight). 2, Sodium citrate pH 6.0 was used for antibody retrieval (>98°C, 20min). 3, secondary antibody was diluted at 1:200 (room temperature, 30min). Negative control was used by secondary antibody only.

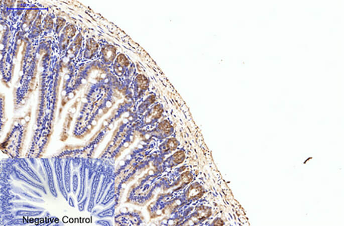
Fig.3. Immunohistochemical analysis of paraffin-embedded mouse colon tissue. 1, eIF4A1 Monoclonal Antibody was diluted at 1:200 (4°C, overnight). 2, Sodium citrate pH 6.0 was used for antibody retrieval (>98°C, 20min). 3, secondary antibody was diluted at 1:200 (room temperature, 30min). Negative control was used by secondary antibody only.

Fig.3. Immunohistochemical analysis of paraffin-embedded mouse colon tissue. 1, eIF4A1 Monoclonal Antibody was diluted at 1:200 (4°C, overnight). 2, Sodium citrate pH 6.0 was used for antibody retrieval (>98°C, 20min). 3, secondary antibody was diluted at 1:200 (room temperature, 30min). Negative control was used by secondary antibody only.

Fig.4. Immunohistochemical analysis of paraffin-embedded rat lung tissue. 1, eIF4A1 Monoclonal Antibody was diluted at 1:200 (4°C, overnight). 2, Sodium citrate pH 6.0 was used for antibody retrieval (>98°C, 20min). 3, secondary antibody was diluted at 1:200 (room temperature, 30min). Negative control was used by secondary antibody only.

Fig.4. Immunohistochemical analysis of paraffin-embedded rat lung tissue. 1, eIF4A1 Monoclonal Antibody was diluted at 1:200 (4°C, overnight). 2, Sodium citrate pH 6.0 was used for antibody retrieval (>98°C, 20min). 3, secondary antibody was diluted at 1:200 (room temperature, 30min). Negative control was used by secondary antibody only.

Fig.5. Immunofluorescence analysis of mouse spleen tissue. 1, eIF4A1 Monoclonal Antibody (red) was diluted at 1:200 (4°C, overnight). 2, Cy3 Labeled secondary antibody was diluted at 1:300 (room temperature, 50min). 3, Picture B: DAPI (blue) 10min. Picture A: Target. Picture B: DAPI. Picture C: merge of A+B.

Fig.5. Immunofluorescence analysis of mouse spleen tissue. 1, eIF4A1 Monoclonal Antibody (red) was diluted at 1:200 (4°C, overnight). 2, Cy3 Labeled secondary antibody was diluted at 1:300 (room temperature, 50min). 3, Picture B: DAPI (blue) 10min. Picture A: Target. Picture B: DAPI. Picture C: merge of A+B.

This product has been cited in0publications

Reviews

There are no reviews yet.

Be the first to review “eIF4A1 Monoclonal Antibody”