Login Register
English
0

Cart

$ 0

EFHD1 Monoclonal Antibody

EFHD1 Monoclonal Antibody

Views(60) Publications(0) Catalog no(ABM0035)
Datasheet Print Share Email Share
  • Specification
  • FAQ
  • Publications(0)
  • Comments(0)

Specification

Product name EFHD1 Monoclonal Antibody
Immunogen Synthetic Peptide
Host Mouse
Reactivity Human,Mouse,Rat
Applications WB,IHC,IF
Applications notes Optimal working dilutions should be determined experimentally by the investigator. Suggested starting dilutions are as follows: WB 1:2000;IF 1:100-200;IHC 1:50-300
Clonality Monoclonal
Preparation method The antibody was affinity-purified from mouse ascites by affinity-chromatography using specific immunogen.

Product Properties

Formulation Liquid solution
Concentration 1 mg/ml
Molecular weight 27kD
Storage buffer PBS, pH 7.4, containing 0.5%BSA, 0.02% sodium azide as Preservative and 50% Glycerol.
Storage instructions Stable for one year at -20°C from date of shipment. For maximum recovery of product, centrifuge the original vial after thawing and prior to removing the cap. Aliquot to avoid repeated freezing and thawing.
Shipping Gel pack with blue ice.
Precautions The product listed herein is for research use only and is not intended for use in human or clinical diagnosis. Suggested applications of our products are not recommendations to use our products in violation of any patent or as a license. We cannot be responsible for patent infringements or other violations that may occur with the use of this product.

Additional Information

Background EFHD1 encodes a member of the EF-hand super family of calcium binding proteins, which are involved in a variety of cellular processes including mitosis, synaptic transmission, and cytoskeletal rearrangement. EF-hand domain family member D1 encoded by EFHD1 is composed of an N-terminal disordered region, proline-rich elements, two EF-hands, and a C-terminal coiled-coil domain. EF-hand domain family member D1 has been shown to associate with the mitochondrial inner membrane, and in HeLa cells, acts as a novel mitochondrial calcium ion sensor for mitochondrial flash activation. Alternative splicing results in multiple transcript variants.
Gene ID 80303
Others The antibody detects endogenous EFHD1 proteins.
Accession Q9BUP0

Image & description

Fig.1. Western blot analysis of 1) Mouse spleen tissue, 2) Rat spleen tissue, diluted at 1:3000.

Fig.1. Western blot analysis of 1) Mouse spleen tissue, 2) Rat spleen tissue, diluted at 1:3000.

Fig.2. Immunohistochemical analysis of paraffin-embedded human uterus tissue. 1, EFHD1 Monoclonal Antibody was diluted at 1:200 (4°C, overnight). 2, Sodium citrate pH 6.0 was used for antibody retrieval (>98°C, 20min). 3, secondary antibody was diluted at 1:200 (room temperature, 30min). Negative control was used by secondary antibody only.

Fig.2. Immunohistochemical analysis of paraffin-embedded human uterus tissue. 1, EFHD1 Monoclonal Antibody was diluted at 1:200 (4°C, overnight). 2, Sodium citrate pH 6.0 was used for antibody retrieval (>98°C, 20min). 3, secondary antibody was diluted at 1:200 (room temperature, 30min). Negative control was used by secondary antibody only.

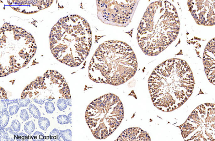
Fig.3. Immunohistochemical analysis of paraffin-embedded mouse testis tissue. 1, EFHD1 Monoclonal Antibody was diluted at 1:200 (4°C, overnight). 2, Sodium citrate pH 6.0 was used for antibody retrieval (>98°C, 20min). 3, secondary antibody was diluted at 1:200 (room temperature, 30min). Negative control was used by secondary antibody only.

Fig.3. Immunohistochemical analysis of paraffin-embedded mouse testis tissue. 1, EFHD1 Monoclonal Antibody was diluted at 1:200 (4°C, overnight). 2, Sodium citrate pH 6.0 was used for antibody retrieval (>98°C, 20min). 3, secondary antibody was diluted at 1:200 (room temperature, 30min). Negative control was used by secondary antibody only.

Fig.4. Immunohistochemical analysis of paraffin-embedded rat heart tissue. 1, EFHD1 Monoclonal Antibody was diluted at 1:200 (4°C, overnight). 2, Sodium citrate pH 6.0 was used for antibody retrieval (>98°C, 20min). 3, secondary antibody was diluted at 1:200 (room temperature, 30min). Negative control was used by secondary antibody only.

Fig.4. Immunohistochemical analysis of paraffin-embedded rat heart tissue. 1, EFHD1 Monoclonal Antibody was diluted at 1:200 (4°C, overnight). 2, Sodium citrate pH 6.0 was used for antibody retrieval (>98°C, 20min). 3, secondary antibody was diluted at 1:200 (room temperature, 30min). Negative control was used by secondary antibody only.

Fig.5. Immunofluorescence analysis of mouse lung tissue. 1, EFHD1 Monoclonal Antibody (red) was diluted at 1:200 (4°C, overnight). 2, Cy3 Labeled secondary antibody was diluted at 1:300 (room temperature, 50min). 3, Picture B: DAPI (blue) 10min. Picture A: Target. Picture B: DAPI. Picture C: merge of A+B.

Fig.5. Immunofluorescence analysis of mouse lung tissue. 1, EFHD1 Monoclonal Antibody (red) was diluted at 1:200 (4°C, overnight). 2, Cy3 Labeled secondary antibody was diluted at 1:300 (room temperature, 50min). 3, Picture B: DAPI (blue) 10min. Picture A: Target. Picture B: DAPI. Picture C: merge of A+B.

This product has been cited in0publications

Reviews

There are no reviews yet.

Be the first to review “EFHD1 Monoclonal Antibody”