Login Register
English
0

Cart

$ 0

DR3 Polyclonal Antibody

DR3 Polyclonal Antibody

Views(77) Publications(0) Catalog no(ABP52866)
Datasheet Print Share Email Share
  • Specification
  • FAQ
  • Publications(0)
  • Comments(0)

Specification

Product name DR3 Polyclonal Antibody
Immunogen Synthesized peptide derived from the Internal region of human DR3 at AA range: 230-310
Host Rabbit
Reactivity Human
Applications WB,IHC,IF,ELISA
Applications notes Optimal working dilutions should be determined experimentally by the investigator. Suggested starting dilutions are as follows: WB 1:500-1:2000;IHC: 1:100-300;ELISA 1:20000;IF 1:50-200
Clonality Polyclonal
Preparation method The antibody was affinity-purified from rabbit antiserum by affinity-chromatography using epitope-specific immunogen.
Alternative TNFRSF25; APO3; DDR3; DR3; TNFRSF12; WSL; WSL1; Tumor necrosis factor receptor superfamily member 25; Apo-3; Apoptosis-inducing receptor AIR; Apoptosis-mediating receptor DR3; Apoptosis-mediating receptor TRAMP; Death receptor 3; Lymphocyte-associated receptor of death; LARD; Protein WSL; Protein WSL-1

Product Properties

Formulation Liquid solution
Concentration 1 mg/ml
Molecular weight 45kD
Storage buffer Liquid in PBS containing 50% glycerol, 0.5% BSA and 0.02% sodium azide.
Storage instructions Stable for one year at -20°C from date of shipment. For maximum recovery of product, centrifuge the original vial after thawing and prior to removing the cap. Aliquot to avoid repeated freezing and thawing.
Shipping Gel pack with blue ice.
Precautions The product listed herein is for research use only and is not intended for use in human or clinical diagnosis. Suggested applications of our products are not recommendations to use our products in violation of any patent or as a license. We cannot be responsible for patent infringements or other violations that may occur with the use of this product.

Additional Information

Background Tumor necrosis factor receptor superfamily member 25 encoded by TNFRSF25 is a member of the TNF-receptor superfamily. This receptor is expressed preferentially in the tissues enriched in lymphocytes, and it may play a role in regulating lymphocyte homeostasis. This receptor has been shown to stimulate NF-kappa B activity and regulate cell apoptosis. The signal transduction of this receptor is mediated by various death domain containing adaptor proteins. Knockout studies in mice suggested the role of this gene in the removal of self-reactive T cells in the thymus. Multiple alternatively spliced transcript variants of this gene encoding distinct isoforms have been reported, most of which are potentially secreted molecules. The alternative splicing of this gene in B and T cells encounters a programmed change upon T-cell activation, which predominantly produces full-length, membrane bound isoforms, and is thought to be involved in controlling lymphocyte proliferation induced by T-cell activation.
Gene ID 8718
Alternative TNFRSF25; APO3; DDR3; DR3; TNFRSF12; WSL; WSL1; Tumor necrosis factor receptor superfamily member 25; Apo-3; Apoptosis-inducing receptor AIR; Apoptosis-mediating receptor DR3; Apoptosis-mediating receptor TRAMP; Death receptor 3; Lymphocyte-associated receptor of death; LARD; Protein WSL; Protein WSL-1
Others DR3 Polyclonal Antibody detects endogenous levels of DR3 protein.
Accession Q93038
Observed Band(KD) 45

Image & description

Fig.1. Western Blot analysis of K562 cells using DR3 Polyclonal Antibody. Secondary antibody (catalog#: A21020) was diluted at 1:20000.

Fig.1. Western Blot analysis of K562 cells using DR3 Polyclonal Antibody. Secondary antibody (catalog#: A21020) was diluted at 1:20000.

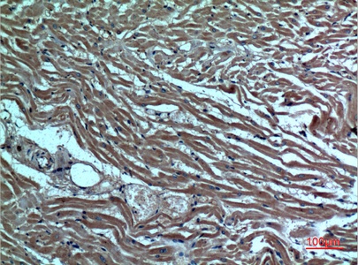
Fig.2. Immunohistochemical analysis of paraffin-embedded human-heart, antibody was diluted at 1:100.

Fig.2. Immunohistochemical analysis of paraffin-embedded human-heart, antibody was diluted at 1:100.

Fig.3. Immunohistochemical analysis of paraffin-embedded human-brain, antibody was diluted at 1:100.

Fig.3. Immunohistochemical analysis of paraffin-embedded human-brain, antibody was diluted at 1:100.

This product has been cited in0publications

Reviews

There are no reviews yet.

Be the first to review “DR3 Polyclonal Antibody”