Login Register
English
0

Cart

$ 0

Cytokeratin 8 Polyclonal Antibody

Cytokeratin 8 Polyclonal Antibody

Views(84) Publications(0) Catalog no(ABP53059)
Datasheet Print Share Email Share
  • Specification
  • FAQ
  • Publications(0)
  • Comments(0)

Specification

Product name Cytokeratin 8 Polyclonal Antibody
Immunogen Synthesized peptide derived from human Cytokeratin 8 around the non-acetylation site of K483
Host Rabbit
Reactivity Human,Rat,Mouse,
Applications WB,IHC,IF,ELISA
Applications notes Optimal working dilutions should be determined experimentally by the investigator. Suggested starting dilutions are as follows: WB 1:500-1:2000;IHC: 1:100-1:300;ELISA 1:20000;IF 1:50-200
Clonality Polyclonal
Preparation method The antibody was affinity-purified from rabbit antiserum by affinity-chromatography using epitope-specific immunogen.
Alternative KRT8; CYK8; Keratin, type II cytoskeletal 8; Cytokeratin-8; CK-8; Keratin-8; K8; Type-II keratin Kb8

Product Properties

Formulation Liquid solution
Concentration 1 mg/ml
Molecular weight 53kD
Storage buffer Liquid in PBS containing 50% glycerol, 0.5% BSA and 0.02% sodium azide.
Storage instructions Stable for one year at -20°C from date of shipment. For maximum recovery of product, centrifuge the original vial after thawing and prior to removing the cap. Aliquot to avoid repeated freezing and thawing.
Shipping Gel pack with blue ice.
Precautions The product listed herein is for research use only and is not intended for use in human or clinical diagnosis. Suggested applications of our products are not recommendations to use our products in violation of any patent or as a license. We cannot be responsible for patent infringements or other violations that may occur with the use of this product.

Additional Information

Background KRT8 is a member of the type II keratin family clustered on the long arm of chromosome 12. Type I and type II keratins heteropolymerize to form intermediate-sized filaments in the cytoplasm of epithelial cells. The product of this gene typically dimerizes with keratin 18 to form an intermediate filament in simple single-layered epithelial cells. This protein plays a role in maintaining cellular structural integrity and also functions in signal transduction and cellular differentiation. Mutations in this gene cause cryptogenic cirrhosis. Alternatively spliced transcript variants have been found for this gene.
Gene ID 3856
Alternative KRT8; CYK8; Keratin, type II cytoskeletal 8; Cytokeratin-8; CK-8; Keratin-8; K8; Type-II keratin Kb8
Others Cytokeratin 8 Polyclonal Antibody detects endogenous levels of Cytokeratin 8 protein.
Accession P05787
Observed Band(KD) 53

Image & description

Fig.1. Western Blot analysis of A549 cells using Cytokeratin 8 Polyclonal Antibody. Secondary antibody (catalog#: A21020) was diluted at 1:20000.

Fig.1. Western Blot analysis of A549 cells using Cytokeratin 8 Polyclonal Antibody. Secondary antibody (catalog#: A21020) was diluted at 1:20000.

Fig.2. Immunohistochemical analysis of paraffin-embedded human-colon, antibody was diluted at 1:100.

Fig.2. Immunohistochemical analysis of paraffin-embedded human-colon, antibody was diluted at 1:100.

Fig.3. Immunohistochemical analysis of paraffin-embedded human-colon, antibody was diluted at 1:100.

Fig.3. Immunohistochemical analysis of paraffin-embedded human-colon, antibody was diluted at 1:100.

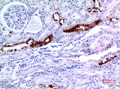
Fig.4. Immunohistochemical analysis of paraffin-embedded human-kidney, antibody was diluted at 1:100.

Fig.4. Immunohistochemical analysis of paraffin-embedded human-kidney, antibody was diluted at 1:100.

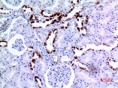
Fig.5. Immunohistochemical analysis of paraffin-embedded human-kidney, antibody was diluted at 1:100.

Fig.5. Immunohistochemical analysis of paraffin-embedded human-kidney, antibody was diluted at 1:100.

Fig.6. Immunohistochemical analysis of paraffin-embedded human-kidney, antibody was diluted at 1:100.

Fig.6. Immunohistochemical analysis of paraffin-embedded human-kidney, antibody was diluted at 1:100.

This product has been cited in0publications

Reviews

There are no reviews yet.

Be the first to review “Cytokeratin 8 Polyclonal Antibody”