Login Register
English
0

Cart

$ 0

CIS Polyclonal Antibody

CIS Polyclonal Antibody

Views(55) Publications(0) Catalog no(ABP58159)
Datasheet Print Share Email Share
  • Specification
  • FAQ
  • Publications(0)
  • Comments(0)

Specification

Product name CIS Polyclonal Antibody
Immunogen Synthesized peptide derived from part region of human CIS protein at amino acid sequence of 30-90
Host Rabbit
Reactivity Human,Mouse,Rat
Applications IHC,IF,ELISA
Applications notes Optimal working dilutions should be determined experimentally by the investigator. Suggested starting dilutions are as follows: IHC 1:50-200;ELISA 1:10000-20000;IF 1:50-200
Clonality Polyclonal
Preparation method The antibody was affinity-purified from rabbit antiserum by affinity-chromatography using epitope-specific immunogen.
Alternative Cytokine-inducible SH2-containing protein; CIS; CIS-1; Protein G18; Suppressor of cytokine signaling; SOCS

Product Properties

Formulation Liquid solution
Concentration 1 mg/ml
Storage buffer Liquid in PBS containing 50% glycerol, 0.5% BSA and 0.02% sodium azide.
Storage instructions Stable for one year at -20°C from date of shipment. For maximum recovery of product, centrifuge the original vial after thawing and prior to removing the cap. Aliquot to avoid repeated freezing and thawing.
Shipping Gel pack with blue ice.
Precautions The product listed herein is for research use only and is not intended for use in human or clinical diagnosis. Suggested applications of our products are not recommendations to use our products in violation of any patent or as a license. We cannot be responsible for patent infringements or other violations that may occur with the use of this product.

Additional Information

Background The protein encoded by CISH contains a SH2 domain and a SOCS box domain. The protein thus belongs to the cytokine-induced STAT inhibitor (CIS), also known as suppressor of cytokine signaling (SOCS) or STAT-induced STAT inhibitor (SSI), protein family. CIS family members are known to be cytokine-inducible negative regulators of cytokine signaling. The expression of CISH can be induced by IL2, IL3, GM-CSF and EPO in hematopoietic cells. Proteasome-mediated degradation of this protein has been shown to be involved in the inactivation of the erythropoietin receptor. Multiple transcript variants encoding different isoforms have been found for CISH. CISH (Cytokine Inducible SH2 Containing Protein) is a Protein Coding gene. Diseases associated with CISH include Bacteremia and Malaria. Among its related pathways are Jak-STAT signaling pathway (KEGG) and IL-2 Signaling Pathway.
Gene ID 1154
Alternative Cytokine-inducible SH2-containing protein; CIS; CIS-1; Protein G18; Suppressor of cytokine signaling; SOCS
Others The antibody detects endogenous levels of CIS
Accession Q9NSE2

Image & description

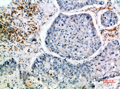
Fig.1. Immunohistochemical analysis of paraffin-embedded human-lung-cancer, antibody was diluted at 1:200.

Fig.1. Immunohistochemical analysis of paraffin-embedded human-lung-cancer, antibody was diluted at 1:200.

This product has been cited in0publications

Reviews

There are no reviews yet.

Be the first to review “CIS Polyclonal Antibody”