Login Register
English
0

Cart

$ 0

CD71 Polyclonal Antibody

CD71 Polyclonal Antibody

Views(59) Publications(0) Catalog no(ABP53105)
Datasheet Print Share Email Share
  • Specification
  • FAQ
  • Publications(0)
  • Comments(0)

Specification

Product name CD71 Polyclonal Antibody
Immunogen Synthesized peptide derived from the N-terminal region of human CD71
Host Rabbit
Reactivity Human
Applications WB,IHC,IF,ELISA
Applications notes Optimal working dilutions should be determined experimentally by the investigator. Suggested starting dilutions are as follows: WB 1:500-1:2000;IHC: 1:100-1:300;ELISA 1:20000;IF 1:50-200
Clonality Polyclonal
Preparation method The antibody was affinity-purified from rabbit antiserum by affinity-chromatography using epitope-specific immunogen.
Alternative TFRC; Transferrin receptor protein 1; TR; TfR; TfR1; Trfr; T9; p90; CD71

Product Properties

Formulation Liquid solution
Concentration 1 mg/ml
Molecular weight 85kD
Storage buffer Liquid in PBS containing 50% glycerol, 0.5% BSA and 0.02% sodium azide.
Storage instructions Stable for one year at -20°C from date of shipment. For maximum recovery of product, centrifuge the original vial after thawing and prior to removing the cap. Aliquot to avoid repeated freezing and thawing.
Shipping Gel pack with blue ice.
Precautions The product listed herein is for research use only and is not intended for use in human or clinical diagnosis. Suggested applications of our products are not recommendations to use our products in violation of any patent or as a license. We cannot be responsible for patent infringements or other violations that may occur with the use of this product.

Additional Information

Background TFRC encodes a cell surface receptor necessary for cellular iron uptake by the process of receptor-mediated endocytosis. This receptor is required for erythropoiesis and neurologic development. Multiple alternatively spliced variants have been identified.
Gene ID 7037
Alternative TFRC; Transferrin receptor protein 1; TR; TfR; TfR1; Trfr; T9; p90; CD71
Others CD71 Polyclonal Antibody detects endogenous levels of CD71 protein.
Accession P02786
Observed Band(KD) 85

Image & description

Fig.1. Western Blot analysis of HUVEC cells using CD71 Polyclonal Antibody. Secondary antibody (catalog#: A21020) was diluted at 1:20000.

Fig.1. Western Blot analysis of HUVEC cells using CD71 Polyclonal Antibody. Secondary antibody (catalog#: A21020) was diluted at 1:20000.

Fig.2. Immunohistochemical analysis of paraffin-embedded human-lung, antibody was diluted at 1:100.

Fig.2. Immunohistochemical analysis of paraffin-embedded human-lung, antibody was diluted at 1:100.

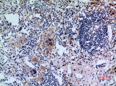
Fig.3. Immunohistochemical analysis of paraffin-embedded human-lung, antibody was diluted at 1:100.

Fig.3. Immunohistochemical analysis of paraffin-embedded human-lung, antibody was diluted at 1:100.

This product has been cited in0publications

Reviews

There are no reviews yet.

Be the first to review “CD71 Polyclonal Antibody”