Login Register
English
0

Cart

$ 0

CD70 Polyclonal Antibody

CD70 Polyclonal Antibody

Views(80) Publications(0) Catalog no(ABP58073)
Datasheet Print Share Email Share
  • Specification
  • FAQ
  • Publications(0)
  • Comments(0)

Specification

Product name CD70 Polyclonal Antibody
Immunogen Synthesized peptide derived from part region of human CD70 protein at amino acid sequence of 150-193
Host Rabbit
Reactivity Human,Mouse
Applications IHC,IF,ELISA
Applications notes Optimal working dilutions should be determined experimentally by the investigator. Suggested starting dilutions are as follows: IHC 1:50-200;ELISA 1:10000-20000;IF 1:50-200
Clonality Polyclonal
Preparation method The antibody was affinity-purified from rabbit antiserum by affinity-chromatography using epitope-specific immunogen.
Alternative CD70 antigen; CD27 ligand; CD27-L; Tumor necrosis factor ligand superfamily member 7; CD antigen CD70

Product Properties

Formulation Liquid solution
Concentration 1 mg/ml
Storage buffer Liquid in PBS containing 50% glycerol, 0.5% BSA and 0.02% sodium azide.
Storage instructions Stable for one year at -20°C from date of shipment. For maximum recovery of product, centrifuge the original vial after thawing and prior to removing the cap. Aliquot to avoid repeated freezing and thawing.
Shipping Gel pack with blue ice.
Precautions The product listed herein is for research use only and is not intended for use in human or clinical diagnosis. Suggested applications of our products are not recommendations to use our products in violation of any patent or as a license. We cannot be responsible for patent infringements or other violations that may occur with the use of this product.

Additional Information

Background The protein encoded by CD70 (CD70 Molecule) is a Protein Coding gene. Diseases associated with CD70 include Acute Myocarditis and Lymphoproliferative Syndrome 2. Among its related pathways are T Cell Co-Signaling Pathway: ligand-Receptor Interactions and Akt Signaling. is a cytokine that belongs to the tumor necrosis factor (TNF) ligand family. This cytokine is a ligand for TNFRSF27/CD27. It is a surface antigen on activated, but not on resting, T and B lymphocytes. It induces proliferation of costimulated T cells, enhances the generation of cytolytic T cells, and contributes to T cell activation. This cytokine is also reported to play a role in regulating B-cell activation, cytotoxic function of natural killer cells, and immunoglobulin sythesis. CD70 (CD70 Molecule) is a Protein Coding gene. Diseases associated with CD70 include Acute Myocarditis and Lymphoproliferative Syndrome 2. Among its related pathways are T Cell Co-Signaling Pathway: ligand-Receptor Interactions and Akt Signaling.
Gene ID 970
Alternative CD70 antigen; CD27 ligand; CD27-L; Tumor necrosis factor ligand superfamily member 7; CD antigen CD70
Others The antibody detects endogenous levels of CD70
Accession P32970

Image & description

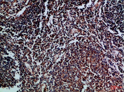
Fig.1. Immunohistochemical analysis of paraffin-embedded Human-tonsil, antibody was diluted at 1:100.

Fig.1. Immunohistochemical analysis of paraffin-embedded Human-tonsil, antibody was diluted at 1:100.

Fig.2. Immunohistochemical analysis of paraffin-embedded Human-tonsil, antibody was diluted at 1:100.

Fig.2. Immunohistochemical analysis of paraffin-embedded Human-tonsil, antibody was diluted at 1:100.

This product has been cited in0publications

Reviews

There are no reviews yet.

Be the first to review “CD70 Polyclonal Antibody”