Login Register
English
0

Cart

$ 0

CD52 Polyclonal Antibody

CD52 Polyclonal Antibody

Views(46) Publications(0) Catalog no(ABP58069)
Datasheet Print Share Email Share
  • Specification
  • FAQ
  • Publications(0)
  • Comments(0)

Specification

Product name CD52 Polyclonal Antibody
Immunogen Synthesized peptide derived from part region of human CD52 protein at amino acid sequence of 20-50
Host Rabbit
Reactivity Human,Rat,Mouse,
Applications IHC,IF,ELISA
Applications notes Optimal working dilutions should be determined experimentally by the investigator. Suggested starting dilutions are as follows: IHC 1:50-200;ELISA 1:10000-20000;IF 1:50-200
Clonality Polyclonal
Preparation method The antibody was affinity-purified from rabbit antiserum by affinity-chromatography using epitope-specific immunogen.
Alternative CAMPATH-1 antigen; CDw52; Cambridge pathology 1 antigen; Epididymal secretory protein E5; Human epididymis-specific protein 5; He5; CD antigen CD52

Product Properties

Formulation Liquid solution
Concentration 1 mg/ml
Molecular weight 15-20kD
Storage buffer Liquid in PBS containing 50% glycerol, 0.5% BSA and 0.02% sodium azide.
Storage instructions Stable for one year at -20°C from date of shipment. For maximum recovery of product, centrifuge the original vial after thawing and prior to removing the cap. Aliquot to avoid repeated freezing and thawing.
Shipping Gel pack with blue ice.
Precautions The product listed herein is for research use only and is not intended for use in human or clinical diagnosis. Suggested applications of our products are not recommendations to use our products in violation of any patent or as a license. We cannot be responsible for patent infringements or other violations that may occur with the use of this product.

Additional Information

Background CD52 (CD52 Molecule) is a Protein Coding gene. Diseases associated with CD52 include Chronic Lymphocytic Leukemia and Relapsing-Remitting Multiple Sclerosis. Among its related pathways are Metabolism of proteins and Post-translational modification- synthesis of GPI-anchored proteins. May play a role in carrying and orienting carbohydrate, as well as having a more specific role.
Gene ID 1043
Alternative CAMPATH-1 antigen; CDw52; Cambridge pathology 1 antigen; Epididymal secretory protein E5; Human epididymis-specific protein 5; He5; CD antigen CD52
Others The antibody detects endogenous levels of CD52
Accession P31358

Image & description

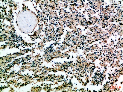
Fig.1. Immunohistochemical analysis of paraffin-embedded Human-tonsil, antibody was diluted at 1:100.

Fig.1. Immunohistochemical analysis of paraffin-embedded Human-tonsil, antibody was diluted at 1:100.

Fig.2. Immunohistochemical analysis of paraffin-embedded Human-spleen, antibody was diluted at 1:100.

Fig.2. Immunohistochemical analysis of paraffin-embedded Human-spleen, antibody was diluted at 1:100.

This product has been cited in0publications

Reviews

There are no reviews yet.

Be the first to review “CD52 Polyclonal Antibody”