Login Register
English
0

Cart

$ 0

CD42c Polyclonal Antibody

CD42c Polyclonal Antibody

Views(79) Publications(0) Catalog no(ABP58068)
Datasheet Print Share Email Share
  • Specification
  • FAQ
  • Publications(0)
  • Comments(0)

Specification

Product name CD42c Polyclonal Antibody
Immunogen Synthesized peptide derived from part region of human CD42c protein at amino acid sequence of 90-150
Host Rabbit
Reactivity Human,Mouse,Rat
Applications IHC,IF,ELISA
Applications notes Optimal working dilutions should be determined experimentally by the investigator. Suggested starting dilutions are as follows: IHC 1:50-200;ELISA 1:10000-20000;IF 1:50-200
Clonality Polyclonal
Preparation method The antibody was affinity-purified from rabbit antiserum by affinity-chromatography using epitope-specific immunogen.
Alternative Platelet glycoprotein Ib beta chain; GP-Ib beta; GPIb-beta; GPIbB; Antigen CD42b-beta; CD antigen CD42c

Product Properties

Formulation Liquid solution
Concentration 1 mg/ml
Storage buffer Liquid in PBS containing 50% glycerol, 0.5% BSA and 0.02% sodium azide.
Storage instructions Stable for one year at -20°C from date of shipment. For maximum recovery of product, centrifuge the original vial after thawing and prior to removing the cap. Aliquot to avoid repeated freezing and thawing.
Shipping Gel pack with blue ice.
Precautions The product listed herein is for research use only and is not intended for use in human or clinical diagnosis. Suggested applications of our products are not recommendations to use our products in violation of any patent or as a license. We cannot be responsible for patent infringements or other violations that may occur with the use of this product.

Additional Information

Background Platelet glycoprotein Ib (GPIb) is a heterodimeric transmembrane protein consisting of a disulfide-linked 140 kD alpha chain and 22 kD beta chain. It is part of the GPIb-V-IX system that constitutes the receptor for von Willebrand factor (VWF), and mediates platelet adhesion in the arterial circulation. GPIb alpha chain provides the VWF binding site, and GPIb beta contributes to surface expression of the receptor and participates in transmembrane signaling through phosphorylation of its intracellular domain. Mutations in the GPIb beta subunit have been associated with Bernard-Soulier syndrome, velocardiofacial syndrome and giant platelet disorder. The 206 amino acid precursor of GPIb beta is synthesized from a 1. kb mRNA expressed in plateletes and megakaryocytes. A 411 amino acid protein arising from a longer, unspliced transcript in endothelial cells has been described; however, the authenticity of this product has been questioned. Yet another less abundant GPIb beta mRNA species of 3. kb, expressed in nonhematopoietic tissues such as endothelium, brain and heart, was shown to result from inefficient usage of a non-consensus polyA signal in the neighboring upstream gene (SEPT5, septin 5). In the absence of polyadenylation from its own imperfect site, the SEPT5 gene produces read-through transcripts that use the consensus polyA signal of GP1BB.
Gene ID 2812
Alternative Platelet glycoprotein Ib beta chain; GP-Ib beta; GPIb-beta; GPIbB; Antigen CD42b-beta; CD antigen CD42c
Others The antibody detects endogenous levels of CD42c
Accession P13224

Image & description

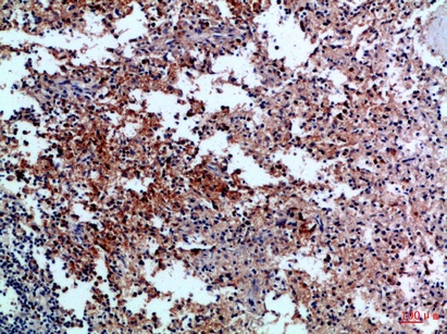
Fig.1. Immunohistochemical analysis of paraffin-embedded Human-spleen, antibody was diluted at 1:100.

Fig.1. Immunohistochemical analysis of paraffin-embedded Human-spleen, antibody was diluted at 1:100.

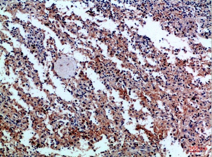
Fig.2. Immunohistochemical analysis of paraffin-embedded Human-spleen, antibody was diluted at 1:100.

Fig.2. Immunohistochemical analysis of paraffin-embedded Human-spleen, antibody was diluted at 1:100.

This product has been cited in0publications

Reviews

There are no reviews yet.

Be the first to review “CD42c Polyclonal Antibody”