Login Register
English
0

Cart

$ 0

CD300g Polyclonal Antibody

CD300g Polyclonal Antibody

Views(58) Publications(0) Catalog no(ABP53003)
Datasheet Print Share Email Share
  • Specification
  • FAQ
  • Publications(0)
  • Comments(0)

Specification

Product name CD300g Polyclonal Antibody
Immunogen Synthesized peptide derived from the Internal region of human CD300g
Host Rabbit
Reactivity Human,Mouse
Applications WB,IHC,IF,ELISA
Applications notes Optimal working dilutions should be determined experimentally by the investigator. Suggested starting dilutions are as follows: WB 1:500-1:2000;IHC: 1:100-300;ELISA 1:20000;IF 1:50-200
Clonality Polyclonal
Preparation method The antibody was affinity-purified from rabbit antiserum by affinity-chromatography using epitope-specific immunogen.
Alternative CD300LG; CLM9; TREM4; CMRF35-like molecule 9; CLM-9; CD300 antigen-like family member G; Triggering receptor expressed on myeloid cells 4; TREM-4; CD300g

Product Properties

Formulation Liquid solution
Concentration 1 mg/ml
Molecular weight 36kD
Storage buffer Liquid in PBS containing 50% glycerol, 0.5% BSA and 0.02% sodium azide.
Storage instructions Stable for one year at -20°C from date of shipment. For maximum recovery of product, centrifuge the original vial after thawing and prior to removing the cap. Aliquot to avoid repeated freezing and thawing.
Shipping Gel pack with blue ice.
Precautions The product listed herein is for research use only and is not intended for use in human or clinical diagnosis. Suggested applications of our products are not recommendations to use our products in violation of any patent or as a license. We cannot be responsible for patent infringements or other violations that may occur with the use of this product.

Additional Information

Background Members of the CD300 (see MIM 606786)-like (CD300L) family, such as CD300LG, are widely expressed on hematopoietic cells. All CD300L proteins are type I cell surface glycoproteins that contain a single immunoglobulin (Ig) V-like domain.
Gene ID 146894
Alternative CD300LG; CLM9; TREM4; CMRF35-like molecule 9; CLM-9; CD300 antigen-like family member G; Triggering receptor expressed on myeloid cells 4; TREM-4; CD300g
Others CD300g Polyclonal Antibody detects endogenous levels of CD300g protein.
Accession Q6UXG3
Observed Band(KD) 36

Image & description

Fig.1. Western Blot analysis of L929 cells using CD300g Polyclonal Antibody. Secondary antibody (catalog#: A21020) was diluted at 1:20000.

Fig.1. Western Blot analysis of L929 cells using CD300g Polyclonal Antibody. Secondary antibody (catalog#: A21020) was diluted at 1:20000.

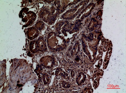
Fig.2. Immunohistochemical analysis of paraffin-embedded human-prostate-cancer, antibody was diluted at 1:100.

Fig.2. Immunohistochemical analysis of paraffin-embedded human-prostate-cancer, antibody was diluted at 1:100.

This product has been cited in0publications

Reviews

There are no reviews yet.

Be the first to review “CD300g Polyclonal Antibody”