Login Register
English
0

Cart

$ 0

CD300f Polyclonal Antibody

CD300f Polyclonal Antibody

Views(59) Publications(0) Catalog no(ABP53206)
Datasheet Print Share Email Share
  • Specification
  • FAQ
  • Publications(0)
  • Comments(0)

Specification

Product name CD300f Polyclonal Antibody
Immunogen Synthesized peptide derived from the Internal region of human CD300f
Host Rabbit
Reactivity Human,Rat,Mouse,
Applications WB,IHC,IF,ELISA
Applications notes Optimal working dilutions should be determined experimentally by the investigator. Suggested starting dilutions are as follows: WB 1:500-1:2000;IHC: 1:100-1:300;ELISA 1:20000;IF 1:50-200
Clonality Polyclonal
Preparation method The antibody was affinity-purified from rabbit antiserum by affinity-chromatography using epitope-specific immunogen.
Alternative CD300LF; CD300F; CLM1; IGSF13; IREM1; NKIR; CMRF35-like molecule 1; CLM-1; CD300 antigen-like family member F; Immune receptor expressed on myeloid cells 1; IREM-1; Immunoglobulin superfamily member 13; IgSF13; NK inhibitory receptor; CD300f

Product Properties

Formulation Liquid solution
Concentration 1 mg/ml
Molecular weight 32kD
Storage buffer Liquid in PBS containing 50% glycerol, 0.5% BSA and 0.02% sodium azide.
Storage instructions Stable for one year at -20°C from date of shipment. For maximum recovery of product, centrifuge the original vial after thawing and prior to removing the cap. Aliquot to avoid repeated freezing and thawing.
Shipping Gel pack with blue ice.
Precautions The product listed herein is for research use only and is not intended for use in human or clinical diagnosis. Suggested applications of our products are not recommendations to use our products in violation of any patent or as a license. We cannot be responsible for patent infringements or other violations that may occur with the use of this product.

Additional Information

Background CD300LF encodes a member of the CD300 protein family. Members of this family are cell surface glycoproteins with a single IgV-like extracellular domain, and are involved in the regulation of immune response. The CD300 molecule like family member f is an inhibitory receptor. Alternative splicing results in multiple transcript variants.
Gene ID 146722
Alternative CD300LF; CD300F; CLM1; IGSF13; IREM1; NKIR; CMRF35-like molecule 1; CLM-1; CD300 antigen-like family member F; Immune receptor expressed on myeloid cells 1; IREM-1; Immunoglobulin superfamily member 13; IgSF13; NK inhibitory receptor; CD300f
Others CD300f Polyclonal Antibody detects endogenous levels of CD300f protein.
Accession Q8TDQ1
Observed Band(KD) 32

Image & description

Fig.1. Western Blot analysis of hela, PC12 cells using CD300f Polyclonal Antibody. Secondary antibody (catalog#: A21020) was diluted at 1:20000.

Fig.1. Western Blot analysis of hela, PC12 cells using CD300f Polyclonal Antibody. Secondary antibody (catalog#: A21020) was diluted at 1:20000.

Fig.2. Immunohistochemical analysis of paraffin-embedded human-lung, antibody was diluted at 1:100.

Fig.2. Immunohistochemical analysis of paraffin-embedded human-lung, antibody was diluted at 1:100.

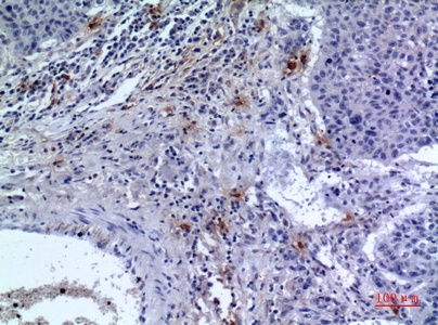
Fig.3. Immunohistochemical analysis of paraffin-embedded human-lung, antibody was diluted at 1:100.

Fig.3. Immunohistochemical analysis of paraffin-embedded human-lung, antibody was diluted at 1:100.

This product has been cited in0publications

Reviews

There are no reviews yet.

Be the first to review “CD300f Polyclonal Antibody”