Login Register
English
0

Cart

$ 0

CD242 Polyclonal Antibody

CD242 Polyclonal Antibody

Views(46) Publications(0) Catalog no(ABP58050)
Datasheet Print Share Email Share
  • Specification
  • FAQ
  • Publications(0)
  • Comments(0)

Specification

Product name CD242 Polyclonal Antibody
Immunogen Synthesized peptide derived from part region of human CD242 protein at amino acid sequence of 141-190
Host Rabbit
Reactivity Human,Mouse
Applications IHC,IF,ELISA
Applications notes Optimal working dilutions should be determined experimentally by the investigator. Suggested starting dilutions are as follows: IHC 1:50-200;ELISA 1:10000-20000;IF 1:50-200
Clonality Polyclonal
Preparation method The antibody was affinity-purified from rabbit antiserum by affinity-chromatography using epitope-specific immunogen.
Alternative Intercellular adhesion molecule 4; ICAM-4; Landsteiner-Wiener blood group glycoprotein; LW blood group protein; CD antigen CD242

Product Properties

Formulation Liquid solution
Concentration 1 mg/ml
Storage buffer Liquid in PBS containing 50% glycerol, 0.5% BSA and 0.02% sodium azide.
Storage instructions Stable for one year at -20°C from date of shipment. For maximum recovery of product, centrifuge the original vial after thawing and prior to removing the cap. Aliquot to avoid repeated freezing and thawing.
Shipping Gel pack with blue ice.
Precautions The product listed herein is for research use only and is not intended for use in human or clinical diagnosis. Suggested applications of our products are not recommendations to use our products in violation of any patent or as a license. We cannot be responsible for patent infringements or other violations that may occur with the use of this product.

Additional Information

Background ICAM4 encodes the Landsteiner-Wiener (LW) blood group antigen(s) that belongs to the immunoglobulin (Ig) superfamily, and that shares similarity with the intercellular adhesion molecule (ICAM) protein family. This ICAM protein contains 2 Ig-like C2-type domains and binds to the leukocyte adhesion LFA-1 protein. The molecular basis of the LW(A)/LW(B) blood group antigens is a single aa variation at position 100; Gln-100=LW(A) and Arg-100=LW(B). Alternative splicing results in multiple transcript variants encoding distinct isoforms.
Gene ID 3386
Alternative Intercellular adhesion molecule 4; ICAM-4; Landsteiner-Wiener blood group glycoprotein; LW blood group protein; CD antigen CD242
Others The antibody detects endogenous levels of CD242
Accession Q14773

Image & description

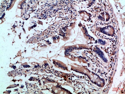
Fig.1. Immunohistochemical analysis of paraffin-embedded Human-colon, antibody was diluted at 1:100.

Fig.1. Immunohistochemical analysis of paraffin-embedded Human-colon, antibody was diluted at 1:100.

This product has been cited in0publications

Reviews

There are no reviews yet.

Be the first to review “CD242 Polyclonal Antibody”