Login Register
English
0

Cart

$ 0

CD241 Polyclonal Antibody

CD241 Polyclonal Antibody

Views(86) Publications(0) Catalog no(ABP53015)
Datasheet Print Share Email Share
  • Specification
  • FAQ
  • Publications(0)
  • Comments(0)

Specification

Product name CD241 Polyclonal Antibody
Immunogen Synthesized peptide derived from the N-terminal region of human CD241
Host Rabbit
Reactivity Human,Rat,Mouse,
Applications WB,IHC,IF,ELISA
Applications notes Optimal working dilutions should be determined experimentally by the investigator. Suggested starting dilutions are as follows: WB 1:500-1:2000;IHC: 1:100-300;ELISA 1:20000;IF 1:50-200
Clonality Polyclonal
Preparation method The antibody was affinity-purified from rabbit antiserum by affinity-chromatography using epitope-specific immunogen.
Alternative RHAG; RH50; Ammonium transporter Rh type A; Erythrocyte membrane glycoprotein Rh50; Erythrocyte plasma membrane 50 kDa glycoprotein; Rh50A; Rhesus blood group family type A glycoprotein; Rh family type A glycoprotein; Rh type A glycoprotein; Rhesus blood group-associated ammonia channel; Rhesus blood group-associated glycoprotein; CD241

Product Properties

Formulation Liquid solution
Concentration 1 mg/ml
Molecular weight 44kD
Storage buffer Liquid in PBS containing 50% glycerol, 0.5% BSA and 0.02% sodium azide.
Storage instructions Stable for one year at -20°C from date of shipment. For maximum recovery of product, centrifuge the original vial after thawing and prior to removing the cap. Aliquot to avoid repeated freezing and thawing.
Shipping Gel pack with blue ice.
Precautions The product listed herein is for research use only and is not intended for use in human or clinical diagnosis. Suggested applications of our products are not recommendations to use our products in violation of any patent or as a license. We cannot be responsible for patent infringements or other violations that may occur with the use of this product.

Additional Information

Background Ammonium transporter Rh type A encoded by RHAG is erythrocyte-specific and is thought to be part of a membrane channel that transports ammonium and carbon dioxide across the blood cell membrane. The encoded protein appears to interact with Rh blood group antigens and Rh30 polypeptides. Defects in this gene are a cause of regulator type Rh- hemolytic anemia (RHN), or Rh-deficiency syndrome.
Gene ID 6005
Alternative RHAG; RH50; Ammonium transporter Rh type A; Erythrocyte membrane glycoprotein Rh50; Erythrocyte plasma membrane 50 kDa glycoprotein; Rh50A; Rhesus blood group family type A glycoprotein; Rh family type A glycoprotein; Rh type A glycoprotein; Rhesus blood group-associated ammonia channel; Rhesus blood group-associated glycoprotein; CD241
Others CD241 Polyclonal Antibody detects endogenous levels of CD241 protein.
Accession Q02094
Observed Band(KD) 44

Image & description

Fig.1. Western Blot analysis of K562 cells using CD241 Polyclonal Antibody. Secondary antibody (catalog#: A21020) was diluted at 1:20000.

Fig.1. Western Blot analysis of K562 cells using CD241 Polyclonal Antibody. Secondary antibody (catalog#: A21020) was diluted at 1:20000.

Fig.2. Immunohistochemical analysis of paraffin-embedded human-liver, antibody was diluted at 1:100.

Fig.2. Immunohistochemical analysis of paraffin-embedded human-liver, antibody was diluted at 1:100.

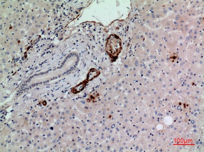
Fig.3. Immunohistochemical analysis of paraffin-embedded human-liver, antibody was diluted at 1:100.

Fig.3. Immunohistochemical analysis of paraffin-embedded human-liver, antibody was diluted at 1:100.

Fig.4. Immunohistochemical analysis of paraffin-embedded human-brain, antibody was diluted at 1:100.

Fig.4. Immunohistochemical analysis of paraffin-embedded human-brain, antibody was diluted at 1:100.

Fig.5. Immunohistochemical analysis of paraffin-embedded human-brain, antibody was diluted at 1:100.

Fig.5. Immunohistochemical analysis of paraffin-embedded human-brain, antibody was diluted at 1:100.

Fig.6. Immunohistochemical analysis of paraffin-embedded human-brain, antibody was diluted at 1:100.

Fig.6. Immunohistochemical analysis of paraffin-embedded human-brain, antibody was diluted at 1:100.

This product has been cited in0publications

Reviews

There are no reviews yet.

Be the first to review “CD241 Polyclonal Antibody”