Login Register
English
0

Cart

$ 0

CD235a Polyclonal Antibody

CD235a Polyclonal Antibody

Views(51) Publications(0) Catalog no(ABP57419)
Datasheet Print Share Email Share
  • Specification
  • FAQ
  • Publications(0)
  • Comments(0)

Specification

Product name CD235a Polyclonal Antibody
Immunogen Synthesized peptide derived from the Internal region of human CD235a
Host Rabbit
Reactivity Human,Mouse
Applications WB,IHC,IF,ELISA
Applications notes Optimal working dilutions should be determined experimentally by the investigator. Suggested starting dilutions are as follows: WB 1:500-1:2000;IHC: 1:100-1:300;ELISA 1:10000;IF 1:50-200
Clonality Polyclonal
Preparation method The antibody was affinity-purified from rabbit antiserum by affinity-chromatography using epitope-specific immunogen.
Alternative GYPA; GPA; Glycophorin-A; MN sialoglycoprotein; PAS-2; Sialoglycoprotein alpha; CD235a

Product Properties

Formulation Liquid solution
Concentration 1 mg/ml
Molecular weight 16kD
Storage buffer Liquid in PBS containing 50% glycerol, 0.5% BSA and 0.02% sodium azide.
Storage instructions Stable for one year at -20°C from date of shipment. For maximum recovery of product, centrifuge the original vial after thawing and prior to removing the cap. Aliquot to avoid repeated freezing and thawing.
Shipping Gel pack with blue ice.
Precautions The product listed herein is for research use only and is not intended for use in human or clinical diagnosis. Suggested applications of our products are not recommendations to use our products in violation of any patent or as a license. We cannot be responsible for patent infringements or other violations that may occur with the use of this product.

Additional Information

Background Glycophorins A (GYPA) and B (GYPB) are major sialoglycoproteins of the human erythrocyte membrane which bear the antigenic determinants for the MN and Ss blood groups. In addition to the M or N and S or s antigens that commonly occur in all populations, about 40 related variant phenotypes have been identified. These variants include all the variants of the Miltenberger complex and several isoforms of Sta, as well as Dantu, Sat, He, Mg, and deletion variants Ena, S-s-U- and Mk. Most of the variants are the result of gene recombinations between GYPA and GYPB.
Gene ID 2993
Alternative GYPA; GPA; Glycophorin-A; MN sialoglycoprotein; PAS-2; Sialoglycoprotein alpha; CD235a
Others CD235a Polyclonal Antibody detects endogenous levels of CD235a protein.
Accession P02724
Observed Band(KD) 16

Image & description

Fig.1. Western Blot analysis of 823, 293T, 22RV cells using CD235a Polyclonal Antibody. Antibody was diluted at 1:500. Secondary antibody (catalog#: A21020) was diluted at 1:20000.

Fig.1. Western Blot analysis of 823, 293T, 22RV cells using CD235a Polyclonal Antibody. Antibody was diluted at 1:500. Secondary antibody (catalog#: A21020) was diluted at 1:20000.

Fig.2. Western Blot analysis of 823 cells using CD235a Polyclonal Antibody diluted at 1:500. Secondary antibody (catalog#: A21020) was diluted at 1:20000.

Fig.2. Western Blot analysis of 823 cells using CD235a Polyclonal Antibody diluted at 1:500. Secondary antibody (catalog#: A21020) was diluted at 1:20000.

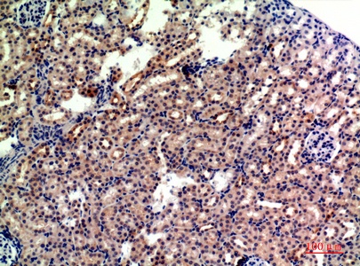
Fig.3. Immunohistochemical analysis of paraffin-embedded Mouse-kidney, antibody was diluted at 1:200.

Fig.3. Immunohistochemical analysis of paraffin-embedded Mouse-kidney, antibody was diluted at 1:200.

Fig.4. Immunohistochemical analysis of paraffin-embedded Mouse-kidney, antibody was diluted at 1:200.

Fig.4. Immunohistochemical analysis of paraffin-embedded Mouse-kidney, antibody was diluted at 1:200.

This product has been cited in0publications

Reviews

There are no reviews yet.

Be the first to review “CD235a Polyclonal Antibody”