Login Register
English
0

Cart

$ 0

CD229 Polyclonal Antibody

CD229 Polyclonal Antibody

Views(97) Publications(0) Catalog no(ABP53002)
Datasheet Print Share Email Share
  • Specification
  • FAQ
  • Publications(0)
  • Comments(0)

Specification

Product name CD229 Polyclonal Antibody
Immunogen Synthesized peptide derived from the Internal region of human CD229
Host Rabbit
Reactivity Human,Mouse
Applications WB,IHC,IF,ELISA
Applications notes Optimal working dilutions should be determined experimentally by the investigator. Suggested starting dilutions are as follows: WB 1:500-1:2000;IHC: 1:100-300;ELISA 1:20000;IF 1:50-200
Clonality Polyclonal
Preparation method The antibody was affinity-purified from rabbit antiserum by affinity-chromatography using epitope-specific immunogen.
Alternative LY9; CDABP0070; T-lymphocyte surface antigen Ly-9; Cell surface molecule Ly-9; Lymphocyte antigen 9; CD229

Product Properties

Formulation Liquid solution
Concentration 1 mg/ml
Molecular weight 72kD
Storage buffer Liquid in PBS containing 50% glycerol, 0.5% BSA and 0.02% sodium azide.
Storage instructions Stable for one year at -20°C from date of shipment. For maximum recovery of product, centrifuge the original vial after thawing and prior to removing the cap. Aliquot to avoid repeated freezing and thawing.
Shipping Gel pack with blue ice.
Precautions The product listed herein is for research use only and is not intended for use in human or clinical diagnosis. Suggested applications of our products are not recommendations to use our products in violation of any patent or as a license. We cannot be responsible for patent infringements or other violations that may occur with the use of this product.

Additional Information

Background LY9 belongs to the SLAM family of immunomodulatory receptors (see SLAMF1; MIM 603492) and interacts with the adaptor molecule SAP (SH2D1A; MIM 300490).
Gene ID 4063
Alternative LY9; CDABP0070; T-lymphocyte surface antigen Ly-9; Cell surface molecule Ly-9; Lymphocyte antigen 9; CD229
Others CD229 Polyclonal Antibody detects endogenous levels of CD229 protein.
Accession Q9HBG7
Observed Band(KD) 72

Image & description

Fig.1. Western Blot analysis of HepG2 cells using CD229 Polyclonal Antibody. Secondary antibody (catalog#: A21020) was diluted at 1:20000.

Fig.1. Western Blot analysis of HepG2 cells using CD229 Polyclonal Antibody. Secondary antibody (catalog#: A21020) was diluted at 1:20000.

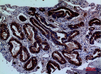
Fig.2. Immunohistochemical analysis of paraffin-embedded human-prostate-cancer, antibody was diluted at 1:100.

Fig.2. Immunohistochemical analysis of paraffin-embedded human-prostate-cancer, antibody was diluted at 1:100.

This product has been cited in0publications

Reviews

There are no reviews yet.

Be the first to review “CD229 Polyclonal Antibody”