Login Register
English
0

Cart

$ 0

CD168 Polyclonal Antibody

CD168 Polyclonal Antibody

Views(75) Publications(0) Catalog no(ABP58041)
Datasheet Print Share Email Share
  • Specification
  • FAQ
  • Publications(0)
  • Comments(0)

Specification

Product name CD168 Polyclonal Antibody
Immunogen Synthesized peptide derived from part region of human CD168 protein at amino acid sequence of 280-340
Host Rabbit
Reactivity Human,Rat,Mouse,
Applications WB,IHC,IF,ELISA
Applications notes Optimal working dilutions should be determined experimentally by the investigator. Suggested starting dilutions are as follows: WB 1:500-2000;IHC 1:500-200;ELISA 1:10000-20000;IF 1:50-200
Clonality Polyclonal
Preparation method The antibody was affinity-purified from rabbit antiserum by affinity-chromatography using epitope-specific immunogen.
Alternative Hyaluronan mediated motility receptor; Intracellular hyaluronic acid-binding protein; Receptor for hyaluronan-mediated motility; CD antigen CD168

Product Properties

Formulation Liquid solution
Concentration 1 mg/ml
Molecular weight 84kD
Storage buffer Liquid in PBS containing 50% glycerol, 0.5% BSA and 0.02% sodium azide.
Storage instructions Stable for one year at -20°C from date of shipment. For maximum recovery of product, centrifuge the original vial after thawing and prior to removing the cap. Aliquot to avoid repeated freezing and thawing.
Shipping Gel pack with blue ice.
Precautions The product listed herein is for research use only and is not intended for use in human or clinical diagnosis. Suggested applications of our products are not recommendations to use our products in violation of any patent or as a license. We cannot be responsible for patent infringements or other violations that may occur with the use of this product.

Additional Information

Background The protein encoded by HMMR is involved in cell motility. It is expressed in breast tissue and together with other proteins, it forms a complex with BRCA1 and BRCA2, thus is potentially associated with higher risk of breast cancer. Alternatively spliced transcript variants encoding different isoforms have been noted for HMMR. HMMR (Hyaluronan Mediated Motility Receptor) is a Protein Coding gene. Diseases associated with HMMR include Breast Cancer and Fibrosarcoma. Among its related pathways are Glycosaminoglycan metabolism and Metabolism.
Gene ID 3161
Alternative Hyaluronan mediated motility receptor; Intracellular hyaluronic acid-binding protein; Receptor for hyaluronan-mediated motility; CD antigen CD168
Others The antibody detects endogenous levels of CD168
Accession O75330
Observed Band(KD) 84

Image & description

Fig.1. Western blot analysis of 293T lysate, antibody was diluted at 1:1000. HRP, Goat Anti-Rabbit IgG (Cat #: A21020) secondary antibody was diluted at 1:20000.

Fig.1. Western blot analysis of 293T lysate, antibody was diluted at 1:1000. HRP, Goat Anti-Rabbit IgG (Cat #: A21020) secondary antibody was diluted at 1:20000.

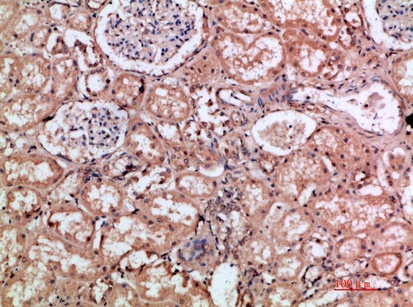
Fig.2. Immunohistochemical analysis of paraffin-embedded human-kidney, antibody was diluted at 1:200.

Fig.2. Immunohistochemical analysis of paraffin-embedded human-kidney, antibody was diluted at 1:200.

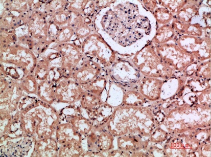
Fig.3. Immunohistochemical analysis of paraffin-embedded human-kidney, antibody was diluted at 1:200.

Fig.3. Immunohistochemical analysis of paraffin-embedded human-kidney, antibody was diluted at 1:200.

This product has been cited in0publications

Reviews

There are no reviews yet.

Be the first to review “CD168 Polyclonal Antibody”