Login Register
English
0

Cart

$ 0

CD116 Polyclonal Antibody

CD116 Polyclonal Antibody

Views(62) Publications(0) Catalog no(ABP52993)
Datasheet Print Share Email Share
  • Specification
  • FAQ
  • Publications(0)
  • Comments(0)

Specification

Product name CD116 Polyclonal Antibody
Immunogen Synthesized peptide derived from the Internal region of human CD116
Host Rabbit
Reactivity Human,Mouse
Applications WB,IHC,IF,ELISA
Applications notes Optimal working dilutions should be determined experimentally by the investigator. Suggested starting dilutions are as follows: WB 1:500-1:2000;IHC: 1:100-300;ELISA 1:20000;IF 1:50-200
Clonality Polyclonal
Preparation method The antibody was affinity-purified from rabbit antiserum by affinity-chromatography using epitope-specific immunogen.
Alternative CSF2RA; CSF2R; CSF2RY; Granulocyte-macrophage colony-stimulating factor receptor subunit alpha; GM-CSF-R-alpha; GMCSFR-alpha; GMR-alpha; CDw116; CD116

Product Properties

Formulation Liquid solution
Concentration 1 mg/ml
Molecular weight 44kD
Storage buffer Liquid in PBS containing 50% glycerol, 0.5% BSA and 0.02% sodium azide.
Storage instructions Stable for one year at -20°C from date of shipment. For maximum recovery of product, centrifuge the original vial after thawing and prior to removing the cap. Aliquot to avoid repeated freezing and thawing.
Shipping Gel pack with blue ice.
Precautions The product listed herein is for research use only and is not intended for use in human or clinical diagnosis. Suggested applications of our products are not recommendations to use our products in violation of any patent or as a license. We cannot be responsible for patent infringements or other violations that may occur with the use of this product.

Additional Information

Background Granulocyte-macrophage colony-stimulating factor receptor subunit alpha encoded by CSF2RA is the alpha subunit of the heterodimeric receptor for colony stimulating factor 2, a cytokine which controls the production, differentiation, and function of granulocytes and macrophages. The encoded protein is a member of the cytokine family of receptors. This gene is found in the pseudoautosomal region (PAR) of the X and Y chromosomes. Multiple transcript variants encoding different isoforms have been found for this gene, with some of the isoforms being membrane-bound and others being soluble.
Gene ID 1438
Alternative CSF2RA; CSF2R; CSF2RY; Granulocyte-macrophage colony-stimulating factor receptor subunit alpha; GM-CSF-R-alpha; GMCSFR-alpha; GMR-alpha; CDw116; CD116
Others CD116 Polyclonal Antibody detects endogenous levels of CD116 protein.
Accession P15509
Observed Band(KD) 44

Image & description

Fig.1. Western Blot analysis of L929 cells using CD116 Polyclonal Antibody. Secondary antibody (catalog#: A21020) was diluted at 1:20000.

Fig.1. Western Blot analysis of L929 cells using CD116 Polyclonal Antibody. Secondary antibody (catalog#: A21020) was diluted at 1:20000.

Fig.2. Immunohistochemical analysis of paraffin-embedded human-lymph, antibody was diluted at 1:100.

Fig.2. Immunohistochemical analysis of paraffin-embedded human-lymph, antibody was diluted at 1:100.

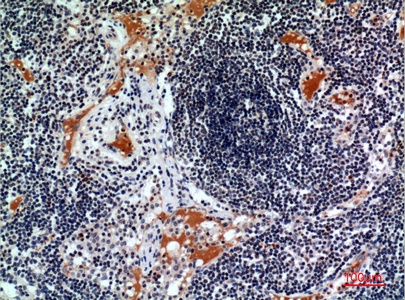
Fig.3. Immunohistochemical analysis of paraffin-embedded human-lymph, antibody was diluted at 1:100.

Fig.3. Immunohistochemical analysis of paraffin-embedded human-lymph, antibody was diluted at 1:100.

This product has been cited in0publications

Reviews

There are no reviews yet.

Be the first to review “CD116 Polyclonal Antibody”