Login Register
English
0

Cart

$ 0

Bonzo Polyclonal Antibody

Bonzo Polyclonal Antibody

Views(48) Publications(0) Catalog no(ABP53129)
Datasheet Print Share Email Share
  • Specification
  • FAQ
  • Publications(0)
  • Comments(0)

Specification

Product name Bonzo Polyclonal Antibody
Immunogen Synthesized peptide derived from the N-terminal region of human Bonzo
Host Rabbit
Reactivity Human,Mouse
Applications WB,IHC,IF,ELISA
Applications notes Optimal working dilutions should be determined experimentally by the investigator. Suggested starting dilutions are as follows: WB 1:500-1:2000;IHC: 1:100-1:300;ELISA 1:20000;IF 1:50-200
Clonality Polyclonal
Preparation method The antibody was affinity-purified from rabbit antiserum by affinity-chromatography using epitope-specific immunogen.
Alternative CXCR6; BONZO; STRL33; TYMSTR; C-X-C chemokine receptor type 6; CXC-R6; CXCR-6; CDw186; G-protein coupled receptor STRL33; G-protein coupled receptor bonzo; CD186

Product Properties

Formulation Liquid solution
Concentration 1 mg/ml
Molecular weight 39kD
Storage buffer Liquid in PBS containing 50% glycerol, 0.5% BSA and 0.02% sodium azide.
Storage instructions Stable for one year at -20°C from date of shipment. For maximum recovery of product, centrifuge the original vial after thawing and prior to removing the cap. Aliquot to avoid repeated freezing and thawing.
Shipping Gel pack with blue ice.
Precautions The product listed herein is for research use only and is not intended for use in human or clinical diagnosis. Suggested applications of our products are not recommendations to use our products in violation of any patent or as a license. We cannot be responsible for patent infringements or other violations that may occur with the use of this product.

Additional Information

Background Receptor for the C-X-C chemokine CXCL16. Used as a coreceptor by SIVs and by strains of HIV-2 and m-tropic HIV-1.
Gene ID 10663
Alternative CXCR6; BONZO; STRL33; TYMSTR; C-X-C chemokine receptor type 6; CXC-R6; CXCR-6; CDw186; G-protein coupled receptor STRL33; G-protein coupled receptor bonzo; CD186
Others Bonzo Polyclonal Antibody detects endogenous levels of Bonzo protein.
Accession O00574
Observed Band(KD) 39

Image & description

Fig.1. Western Blot analysis of hela cells using Bonzo Polyclonal Antibody. Secondary antibody (catalog#: A21020) was diluted at 1:20000.

Fig.1. Western Blot analysis of hela cells using Bonzo Polyclonal Antibody. Secondary antibody (catalog#: A21020) was diluted at 1:20000.

Fig.2. Immunohistochemical analysis of paraffin-embedded human-pancreas, antibody was diluted at 1:100.

Fig.2. Immunohistochemical analysis of paraffin-embedded human-pancreas, antibody was diluted at 1:100.

Fig.3. Immunohistochemical analysis of paraffin-embedded human-pancreas, antibody was diluted at 1:100.

Fig.3. Immunohistochemical analysis of paraffin-embedded human-pancreas, antibody was diluted at 1:100.

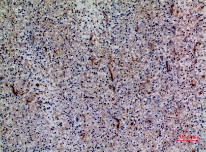
Fig.4. Immunohistochemical analysis of paraffin-embedded human-spleen, antibody was diluted at 1:100.

Fig.4. Immunohistochemical analysis of paraffin-embedded human-spleen, antibody was diluted at 1:100.

Fig.5. Immunohistochemical analysis of paraffin-embedded human-spleen, antibody was diluted at 1:100.

Fig.5. Immunohistochemical analysis of paraffin-embedded human-spleen, antibody was diluted at 1:100.

This product has been cited in0publications

Reviews

There are no reviews yet.

Be the first to review “Bonzo Polyclonal Antibody”