Login Register
English
0

Cart

$ 0

Actin β Polyclonal Antibody

Actin β Polyclonal Antibody

Views(85) Publications(1) Catalog no(ABP50593)
Datasheet Print Share Email Share
  • Specification
  • FAQ
  • Publications(1)
  • Comments(0)

Specification

Product name Actin β Polyclonal Antibody
Immunogen Synthesized peptide derived from the N-terminal region of human Actin β
Host Rabbit
Reactivity Human,Mouse,Rat,Chicken,Globefish,Bovine,Hamster,Pig,Ovine,Cat,Pig,Dog,Sheep
Applications IF,WB,IHC,ELISA
Applications notes Optimal working dilutions should be determined experimentally by the investigator. Suggested starting dilutions are as follows: IF 1:50-200;WB 1:2000-1:10000;IHC 1:100-1:300;ELISA 1:20000;Not yet tested in other applications;
Clonality Polyclonal
Preparation method The antibody was affinity-purified from rabbit antiserum by affinity-chromatography using epitope-specific immunogen.
Alternative ACTB; Actin; cytoplasmic 1; Beta-actin

Product Properties

Formulation Liquid solution
Concentration 1 mg/ml
Molecular weight 42kD
Storage buffer Liquid in PBS containing 50% glycerol, 0.5% BSA and 0.02% sodium azide.
Storage instructions Stable for one year at -20°C from date of shipment. For maximum recovery of product, centrifuge the original vial after thawing and prior to removing the cap. Aliquot to avoid repeated freezing and thawing.
Shipping Gel pack with blue ice.
Precautions The product listed herein is for research use only and is not intended for use in human or clinical diagnosis. Suggested applications of our products are not recommendations to use our products in violation of any patent or as a license. We cannot be responsible for patent infringements or other violations that may occur with the use of this product.

Additional Information

Background ACTB encodes one of six different actin proteins (actin beta). Actins are highly conserved proteins that are involved in cell motility, structure, and integrity. This actin is a major constituent of the contractile apparatus and one of the two nonmuscle cytoskeletal actins.
Gene ID 60
Alternative ACTB; Actin; cytoplasmic 1; Beta-actin
Others Actin β Polyclonal Antibody detects endogenous levels of Actin β protein.
Accession P60709

Image & description

Fig.1. Immunohistochemical analysis of paraffin-embedded human uterus tissue. 1, Actin β Polyclonal Antibody was diluted at 1:200 (4°C, overnight). 2, Sodium citrate pH 6.0 was used for antibody retrieval (>98°C, 20min). 3, secondary antibody was diluted at 1:200 (room temperature, 30min). Negative control was used by secondary antibody only.

Fig.1. Immunohistochemical analysis of paraffin-embedded human uterus tissue. 1, Actin β Polyclonal Antibody was diluted at 1:200 (4°C, overnight). 2, Sodium citrate pH 6.0 was used for antibody retrieval (>98°C, 20min). 3, secondary antibody was diluted at 1:200 (room temperature, 30min). Negative control was used by secondary antibody only.

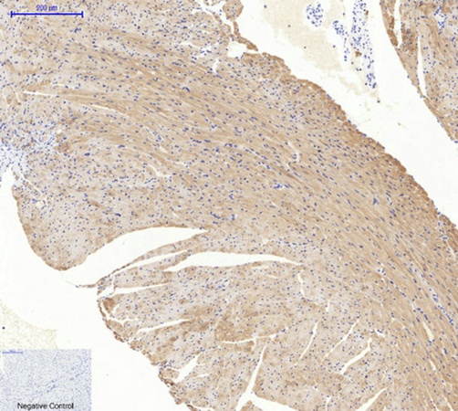
Fig.2. Immunohistochemical analysis of paraffin-embedded mouse heart tissue. 1, Actin β Polyclonal Antibody was diluted at 1:200 (4°C, overnight). 2, Sodium citrate pH 6.0 was used for antibody retrieval (>98°C, 20min). 3, secondary antibody was diluted at 1:200 (room temperature, 30min). Negative control was used by secondary antibody only.

Fig.2. Immunohistochemical analysis of paraffin-embedded mouse heart tissue. 1, Actin β Polyclonal Antibody was diluted at 1:200 (4°C, overnight). 2, Sodium citrate pH 6.0 was used for antibody retrieval (>98°C, 20min). 3, secondary antibody was diluted at 1:200 (room temperature, 30min). Negative control was used by secondary antibody only.

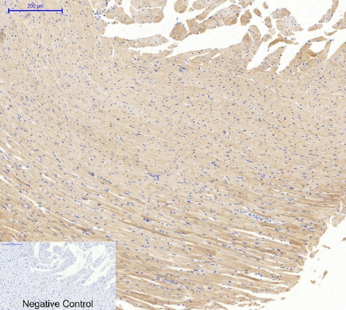
Fig.3. Immunohistochemical analysis of paraffin-embedded rat heart tissue. 1, Actin β Polyclonal Antibody was diluted at 1:200 (4°C, overnight). 2, Sodium citrate pH 6.0 was used for antibody retrieval (>98°C, 20min). 3, secondary antibody was diluted at 1:200 (room temperature, 30min). Negative control was used by secondary antibody only.

Fig.3. Immunohistochemical analysis of paraffin-embedded rat heart tissue. 1, Actin β Polyclonal Antibody was diluted at 1:200 (4°C, overnight). 2, Sodium citrate pH 6.0 was used for antibody retrieval (>98°C, 20min). 3, secondary antibody was diluted at 1:200 (room temperature, 30min). Negative control was used by secondary antibody only.

Fig.4. Western Blot analysis of 1, hela 2, A549 3, HEPG2 4, mouse brain 5, mouse lung 6, mouse liver 7, rat brain 8, rat lung 9, rat liver cells using primary antibody diluted at 1:1000 (4°C overnight).

Fig.4. Western Blot analysis of 1, hela 2, A549 3, HEPG2 4, mouse brain 5, mouse lung 6, mouse liver 7, rat brain 8, rat lung 9, rat liver cells using primary antibody diluted at 1:1000 (4°C overnight).

This product has been cited in1publications

Reviews

There are no reviews yet.

Be the first to review “Actin β Polyclonal Antibody”