Login Register
English
0

Cart

$ 0

Acetyl NF kB P65 (K314/K315) Mouse Monoclonal Antibody (2A11)

Acetyl NF kB P65 (K314/K315) Mouse Monoclonal Antibody (2A11)

Views(106) Publications(0) Catalog no(ABM40369)
Datasheet Print Share Email Share
  • Specification
  • FAQ
  • Publications(0)
  • Comments(0)

Specification

Product name Acetyl NF kB P65 (K314/K315) Mouse Monoclonal Antibody (2A11)
Immunogen Synthetic Peptide of Acetyl NF kB P65 (K314/K315)
Host Mouse
Reactivity Human,Mouse,Rat
Applications IHC,IF
Applications notes Optimal working dilutions should be determined experimentally by the investigator. Suggested starting dilutions are as follows: IHC 1:50-300;IF 1:50-200
Clonality Monoclonal
Preparation method The antibody was affinity-purified from mouse antiserum by affinity-chromatography using epitope-specific immunogen.
Alternative Transcription factor p65; Nuclear factor NF-kappa-B p65 subunit; Nuclear factor of kappa light polypeptide gene enhancer in B-cells 3

Product Properties

Formulation Liquid solution
Concentration 1 mg/ml
Molecular weight 65kD
Storage buffer Liquid in PBS containing 50% glycerol, 0.5% BSA and 0.02% sodium azide.
Storage instructions Stable for one year at -20°C from date of shipment. For maximum recovery of product, centrifuge the original vial after thawing and prior to removing the cap. Aliquot to avoid repeated freezing and thawing.
Shipping Gel pack with blue ice.
Precautions The product listed herein is for research use only and is not intended for use in human or clinical diagnosis. Suggested applications of our products are not recommendations to use our products in violation of any patent or as a license. We cannot be responsible for patent infringements or other violations that may occur with the use of this product.

Additional Information

Background NF-kappa-B is a ubiquitous transcription factor involved in several biological processes. It is held in the cytoplasm in an inactive state by specific inhibitors. Upon degradation of the inhibitor, NF-kappa-B moves to the nucleus and activates transcription of specific genes. NF-kappa-B is composed of NFKB1 or NFKB2 bound to either REL, RELA (RELA proto-oncogene, NF-kB subunit), or RELB. The most abundant form of NF-kappa-B is NFKB1 complexed with the product of RELA, RELA. Four transcript variants encoding different isoforms have been found for RELA.
Gene ID 5970
Alternative Transcription factor p65; Nuclear factor NF-kappa-B p65 subunit; Nuclear factor of kappa light polypeptide gene enhancer in B-cells 3
Others The antibody detects endogenous Acetyl NF kB P65 (K314/K315) protein.
Accession Q04206

Image & description

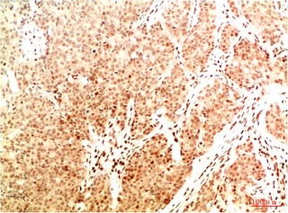
Fig.1. Immunohistochemical analysis of paraffin-embedded Human Breast Carcinoma Tissue using Acetyl NF kB P65 (K314/K315) Mouse mAb diluted at 1:200.

Fig.1. Immunohistochemical analysis of paraffin-embedded Human Breast Carcinoma Tissue using Acetyl NF kB P65 (K314/K315) Mouse mAb diluted at 1:200.

Fig.2. Immunohistochemical analysis of paraffin-embedded Human Lung Carcinoma Tissue using Acetyl NF kB P65 (K314/K315) Mouse mAb diluted at 1:200.

Fig.2. Immunohistochemical analysis of paraffin-embedded Human Lung Carcinoma Tissue using Acetyl NF kB P65 (K314/K315) Mouse mAb diluted at 1:200.

This product has been cited in0publications

Reviews

There are no reviews yet.

Be the first to review “Acetyl NF kB P65 (K314/K315) Mouse Monoclonal Antibody (2A11)”