Login Register
English
0

Cart

$ 0

17β-HSD4 Polyclonal Antibody

17β-HSD4 Polyclonal Antibody

Views(57) Publications(0) Catalog no(ABP53117)
Datasheet Print Share Email Share
  • Specification
  • FAQ
  • Publications(0)
  • Comments(0)

Specification

Product name 17β-HSD4 Polyclonal Antibody
Immunogen Synthesized peptide derived from the N-terminal region of human 17β-HSD4
Host Rabbit
Reactivity Human,Mouse,Rat
Applications WB,IHC,IF,ELISA
Applications notes Optimal working dilutions should be determined experimentally by the investigator. Suggested starting dilutions are as follows: WB 1:500-1:2000;IHC: 1:100-1:300;ELISA 1:20000;IF 1:50-200
Clonality Polyclonal
Preparation method The antibody was affinity-purified from rabbit antiserum by affinity-chromatography using epitope-specific immunogen.
Alternative HSD17B4; EDH17B4; Peroxisomal multifunctional enzyme type 2; MFE-2; 17-beta-hydroxysteroid dehydrogenase 4; 17-beta-HSD 4; D-bifunctional protein; DBP; Multifunctional protein 2; MPF-2

Product Properties

Formulation Liquid solution
Concentration 1 mg/ml
Molecular weight 80kD
Storage buffer Liquid in PBS containing 50% glycerol, 0.5% BSA and 0.02% sodium azide.
Storage instructions Stable for one year at -20°C from date of shipment. For maximum recovery of product, centrifuge the original vial after thawing and prior to removing the cap. Aliquot to avoid repeated freezing and thawing.
Shipping Gel pack with blue ice.
Precautions The product listed herein is for research use only and is not intended for use in human or clinical diagnosis. Suggested applications of our products are not recommendations to use our products in violation of any patent or as a license. We cannot be responsible for patent infringements or other violations that may occur with the use of this product.

Additional Information

Background Peroxisomal multifunctional enzyme type 2 encoded by HSD17B4 is a bifunctional enzyme that is involved in the peroxisomal beta-oxidation pathway for fatty acids. It also acts as a catalyst for the formation of 3-ketoacyl-CoA intermediates from both straight-chain and 2-methyl-branched-chain fatty acids. Defects in this gene that affect the peroxisomal fatty acid beta-oxidation activity are a cause of D-bifunctional protein deficiency (DBPD). An apparent pseudogene of this gene is present on chromosome 8. Multiple alternatively spliced transcript variants encoding distinct isoforms have been found for this gene.
Gene ID 3295
Alternative HSD17B4; EDH17B4; Peroxisomal multifunctional enzyme type 2; MFE-2; 17-beta-hydroxysteroid dehydrogenase 4; 17-beta-HSD 4; D-bifunctional protein; DBP; Multifunctional protein 2; MPF-2
Others 17β-HSD4 Polyclonal Antibody detects endogenous levels of 17β-HSD4 protein.
Accession P51659

Image & description

Fig.1. Western Blot analysis of HUVEC, K562 cells using 17β-HSD4 Polyclonal Antibody. Secondary antibody (catalog#: A21020) was diluted at 1:20000.

Fig.1. Western Blot analysis of HUVEC, K562 cells using 17β-HSD4 Polyclonal Antibody. Secondary antibody (catalog#: A21020) was diluted at 1:20000.

Fig.2. Immunohistochemical analysis of paraffin-embedded human-liver, antibody was diluted at 1:100.

Fig.2. Immunohistochemical analysis of paraffin-embedded human-liver, antibody was diluted at 1:100.

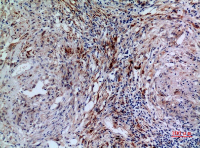
Fig.3. Immunohistochemical analysis of paraffin-embedded human-lung, antibody was diluted at 1:100.

Fig.3. Immunohistochemical analysis of paraffin-embedded human-lung, antibody was diluted at 1:100.

Fig.4. Immunohistochemical analysis of paraffin-embedded human-lung, antibody was diluted at 1:100.

Fig.4. Immunohistochemical analysis of paraffin-embedded human-lung, antibody was diluted at 1:100.

This product has been cited in0publications

Reviews

There are no reviews yet.

Be the first to review “17β-HSD4 Polyclonal Antibody”